Pavla prišla na kliniku v marci 2014. Jej zuby boli vo veľmi zlom stave. Hanbila sa rozprávať a usmievať. Nakoniec sa rozhodla radikálne zmeniť svoj výzor a urobiť niečo aj pre svoje zdravie.
“Chcela by som zdôrazniť, že Implant Clinic je vynikajúca klinika. Celý tím je veľmi profesionálny a ochotný pomôcť. Som veľmi spokojná a vrelo odporúčam všetkým.“

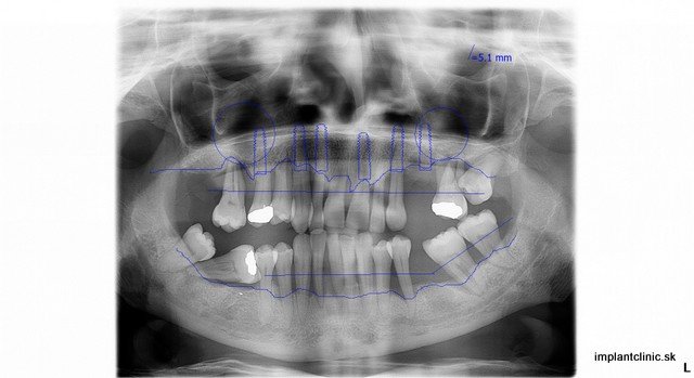
Na kompletnú rekonštrukciu Pavlinho chrupu bolo potrebných 24 extrakcií, 12 zubných implantátov, 2 x sinus lift, 12 implantátových koruniek v sánke a 12 implantátových koruniek vo vrchnej čeľusti. Zdravie našich zubov ovplyvňuje naše celkové zdravie, ale aj kvalitu nášho života. Pokazené zuby nie sú len estetický problém. Prepojenie medzi stavom chrupu a našim zdravím je oveľa väčšie, ako si myslíme. Zápaly v ústnej dutine sa krvnou cestou dostávajú do celého tela a môžu spôsobiť ďaľšie problémy. Odkladanie návštevy zubného lekára môže spôsobiť to, že zuby sa pokazia natoľko, že o ne prídeme. Tým sa zmení aj kvalita nášho života. Bezzubá čeľusť je vážny estetický nedostatok, ktorý si všimneme na ľuďoch hneď ako začnú rozprávať.
Naša pacientka Pavla mala ešte všetky svoje zuby, no tie z hľadiska dlhodobej prognózy už nebolo možné ponechať. Preto boli všetky zuby extrahované. Hneď po extrakcii sa na vrchnú čeľusť a sánku zaviedlo po 6 zubných implantátov. Implantáciu vykonal náš hlavný implantológ MUDr. Marek Salka.
Po zavedení implantátov neodídete domov bez zubov. V Implant Clinic Vám v našom laboratóriu vyrobíme dočasný zubný mostík. Tento mostík je vyrobený z vysokokvalitných materiálov s titánovým vystužením. Táto dočasná zubná náhrada slúži pacientovi počas doby hojenia, ktorá trvá približne 8-12 týždňov. Po zahojení sa pacient vráti na kliniku na odobratie odtlačkov. Trvalé korunky sa potom môžu začať vyrábať v našom zubnom laboratóriu. Výroba trvalých koruniek trvá približne 21 dní.



72 Responses
Dobrý deň, chcel by som sa spýtať na cenu alebo poradiť. Zuby mám v otáznom stave a finančne sa to nedá zvládnuť, veľmi pochybujem aj o tom, že sa dajú tie zuby zachrániť. Mám 26 rokov, chcel by som nájsť riešenie, ku ktorému môžem pristúpiť bez toho, aby sa to kvôli peniazom naťahovalo rok čo rok. ďakujem.
Dobrý deň Jano,
ďakujeme, že ste sa na nás obrátili s dôverou. Úplne rozumieme tomu, že stav vašich zubov môže vyvolávať stres, najmä keď máte obavy, či bude možné ich zachrániť a či je riešenie vôbec finančne zvládnuteľné. Radi vám s tým pomôžeme a určite nájdeme riešenie, ktoré bude nielen účinné, ale aj dostupné.
Naša Smile Clinic sa špecializuje práve na prípady, kde sa zuby zdajú byť „nezachrániteľné“. Často dokážeme nájsť dlhodobé riešenie aj v prípadoch, keď už pacienti takmer stratili nádej.
Čo odporúčame ako ďalší krok:
– Bezplatnú konzultáciu (online alebo osobne), kde zhodnotíme aktuálny stav vašich zubov.
– Počas konzultácie Vám odporučíme ideálne riešenie podľa stavu Vašich zubov, ktoré bude finančne prijateľné a súčasne zaručí dlhodobý efekt.
– Poskytneme Vám jasnú a zrozumiteľnú cenovú ponuku, prípadne predstavíme možnosti financovania alebo splátkových plánov, ktoré sú pre Vás dostupné.
Chápeme, že je pre vás dôležité nájsť riešenie, ktoré je finančne zvládnuteľné. V Smile Clinic sa vždy snažíme nájsť cestu, aby ste mohli opäť jesť bez bolesti, získať krásny úsmev a žiť bez obáv.
Mohli by ste nám, prosím, poslať fotografiu alebo absolvovať krátku konzultáciu cez video, aby sme mohli lepšie posúdiť situáciu?
Radi vám pomôžeme urobiť prvý krok k novému a bezbolestnému úsmevu. Tešíme sa na vašu odpoveď.
S pozdravom a s úsmevom,
Tim Smile Clinic Slovakia
dobry den. mam 13 rokov a moje zuby su v prisernom stave. mam strasne vela kazov a bolia ma. bojim sa ist k zubarke lebo je velmi nesympaticka a bojim sa to poveday aj mojim rodicom lebo su na to velmi haklivi a nemame peniaze na rozhadzovanie. prosim neviem co mam robit.
Dobrý deň, slečna Lucia
Ďakujeme za prejavenú dôveru.
Lucka, odporúčame sa predsa zdôveriť rodičom a nájsť spolu zubnú kliniku pre deti a dorast. Naša klinika sa špecializuje na zubné implantáty a zubné korunky.
Držíme palce.
S pozdravom,
Tím Smile clinic
Dobry den, chcela by som sa spytat na cenu alebo aspon poradit. Zuby mam v otrasnom stave a financne sa to neda zvladnut, pochubujem uz aj o tom ze sa daju tie zuby zachranit.. mam len 19 rokov a uz som z toho zufala chcela by som konecne najst riesenie ku ktoremu mozem pristupit bez toho aby sa to kvoli peniazom natahovalo mesiace a roky. Vopred dakujem
Dobrý deň, pani Nikoleta
Radi Vám poskytneme cenu za ošetrenia Vašich zúbkov, avšak potrebujeme vedieť a vidieť čo všetko by ste potrebovali. Pre začiatok by ste nám mohli poslať fotografie Vašich zubov alebo ideálne OPG snímku. Lekár sa pozrie na Vaše snímky a následne by sme Vás kontaktovali s riešením a taktiež by sme Vás radi pozvali na vstupnú konzultáciu.
Budeme sa tešiť na Vašu odpoveď.
S pozdravom
Smile clinic
Dobrý deň , chcela by som sa informovať koľko by stáli komplet nové horné zuby. Alebo poprípade komplet nové zuby aj s extrakciou.
Dobrý deň, pani Zuzana
Ďakujeme za Vaši správu. Odpovedali sme na Váš e-mail, prosím, skontrolujte Vašu e-mailovú schránku, aby sme sa Vám mohli poskytnúť presné informácie.
S pozdravom
Implant Clinic
Dobry den mam tiez problem zo zubami vrchnimi mam uz len pokazene korene a mam obrovsky strach zo zubarou panicky strach staci ze len pocujem slovo zubar a uz sa trasiem vedeli by ste mi pomoct mam 40r
Dobrý deň, pán Janko,
ďakujeme za zanechanie komentáru. Ceníme si váš záujem o riešenie Vašich stomatologických problémov na našej zubnej klinike. Radi Vám ukážeme, že s našim prístupom nie je dôvod na strach zo zubárov. E-mailom som Vám zaslala informácie o ďalšom postupe.
Prosím, skontrolujte Vašu e-mailovú schránku.
S prianím pekného dňa
Petra – Implant clinic
Dobrí deň ja sa chcem spýtať lebo ako čítam komentáre tak môj problém je asi dosť vážny ja mam už len 7 zubov na spodnej sanke dá sa robiť aj stim niečo alebo už je neskoro ďakujem za odpoveď
Dobrý deň, pán Miroslav,
ďakujeme, že ste nás kontaktovali. Nikdy nie je neskoro 🙂
E-mailom som Vám poslala link pomocou ktorého si naplánujete rýchly telefonát so mnou alebo mojou kolegyňou, vysvetlíme Vám, čo by sa s ostávajúcicmi 7 zubami dalo robiť a v prípade záujmu Vás objednáme na konzultáciu k lekárovi.
Prosím, skontrolujte Vašu e-mailovú schránku.
Prajem pekný deň
Petra – Smile Clinic
Dobrý deň,
mohol by som poprosiť o zaslanie cenníka na komplet vytrhanie chupu – paradentóza – a nasadenie implantátov ?
Ďakujem vopred.
Dobrý deň, pán Roman,
ďakujeme za zanechanie komentára. Viac informácií o fixnom mostíku na implantátoch vrátane jeho ceny sme vám zaslali e-mailom.
V prípade záujmu o ošetrenie je potrebná osobná konzultácia s lekárom. Radi Vás objednáme.
S prianím pekného dňa
Petra – Smile Clinic
Dobrý deň, z toho čo som tu prečítala má tiež problém, ze moje zuby su v dezolátnom stave a tiež sa hambím za tento stav. Môj problém je, že mám panický strach z návštevy zubára, preto tam nechodím. Chcem sa informovať o cenách zubnej protézy, úplnej anestéze a ako dlho trvá takýto zákrok.
Vopred ďakujem za odpoveď. Katarína
Dobrý deň, pani Katarína,
ďakujeme, že ste nás kontaktovali. Viac informácií o All on 4 ošetrení sme Vám zaslali e-mailom.
V prípade otázok sme Vám k dispozícii.
S pozdravom
Petra – Implant Clinic
Dobrý deň. Mám problém čo sa týka zubov a to taký že sú naozaj v kritickom štádiu a Neviem ako to poriešiť keď že mam taky strach zo zubára že dovi dopo a trápi ma to lebo ani sa pporiadne najest a úsmev ani nehrozí a chcem s tým niečo robiť a ako pozerám na vašu stránku tak si myslím že u vás by som to aj dal ak by bolo nejaké riesenie a chcel by som komplet všetky zuby a bontónu vás stojí. Za odpoveď vopred ďakujem. S pozdravom Lukáš.
Dobrý deň, pán Lukáš,
ďakujeme, že ste sa na nás obrátili. Kontaktovali sme Vás e-mailom.
S pozdravom
Petra – Implant Clinic
Dobry den.mam predne zuby v hroznom stave mam problem uz aj z jedlom co ma starsne trapi.nedokazem ani zajst k zubarovi pretoze mam panicky strach.chcela by som vediet ako to vyzera u vas cenovo keby som sa prekonala.
Dobrý deň, pani Veronika,
ďakujeme, že ste nám napísali. Kontaktovali sme Vás e-mailom.
S pozdravom
Petra – Implant Clinic
Zdravim volam sa Tomas Vlk som z Bratislavi presnejsie z ruzinova mam v predu h ile zuby derave a smrdi mi z ust taka h ilobna smradutost neviem sa toho zbavit ostatne zuby mam tiez pokazene a mam amalganove blomby nemam moc vela penazi ale chcem sa dohodnut na cene za opravu chrupu najviac ma trapy samota je to strasny smrad ked rozpravam z ludmi niekedy chcem ist z baru domov co sa nedokazem citit pomozete mi
Dobrý deň, Tomáš,
ďakujeme za zanechanie komentáru. Kontaktovali sme Vás e-mailom.
S pozdravom
Petra
dobrý den,mám problém,hýbu sa mi skoro všetky zuby hlavne predné,zubára sa velmi bojím a nemám na to financie,rád by som mal zdravý chrup,prosím poradíte mi?dakujem s pozdravom
Dobrý deň, pán Stanislav.
Ďakujeme, že ste nám napísali komentár. Kontaktovali sme Vás e-mailom.
S pozdravom
Implant Clinic
Dobrý deň,
v roku 2010 som si dala “okorunkovať” 12 horných zubov. / 4 chýbali, ale boli premostené/ Po cca 6-tich rokoch mu začali zuby oh krčkov akoby “odhnívať”, vlani sa mi dokonca 4 odlomili,no a teraz mi už idú spadnúť aj tie ostatné. Stále si dosť dobre neviem predstaviť vyberateľnú zubnú náhradu, preto sa chcem spýtať, aká by bola cena za celý horný chrup, kde mám už svoju už iba ľavú stoličku.
Ďakujem pekne za Vašu odpoveď
Dobrý deň p. Jozefa
ďakujeme za Váš komentár.
Cenník som Vám poslala na email.
S pozdravom Implant Clinic
Aj ja mam strach zo zubara,mam 43 rokov a zuby v zlom stave hlavne vrchne.Mam zavezok do noveho roku hned ten strach prekonat a dat si spravit chrup.Preto sa obraciam na vas s prosbou o pomoc a hlavne s cenou ci mam dost nasetrene.vdaka IVETA
Dobrý deň p. Iveta
Ďakujeme vám za váš komentár.
Cenu za ošetrenie sme vám zaslali na váš e-mail
S pozdravom Implantclinic tím
Dobry den.mam 29r.a zuby v hroznom stave mam problem uz aj z jedlom co ma starsne trapi.nedokazem ani zajst k zubarovi pretoze mam panicky strach.chcela by som vediet ako to vyzera u vas cenovo keby som sa prekonala.
Dobrý deň p. Miroslava,
Ďakujeme vám za váš komentár.
Cenu za ošetrenie sme vám zaslali na váš e-mail
S pozdravom Implantclinic tím
Dobry den. Chcela by som sa spytat. Ci by sa u vas dali opravit zuby aj na splatky.. som na materskej.. a zuby mam velmi zle..
Dobrý deň Mária,
Ďakujeme vám za váš komentár.
Kontaktovali sme vás na uvedený e-mail.
Platby formou splátok neponúkame.
S pozdravom Implantclinic tím
Dobrý deň Monika,
Ďakujeme vám za váš komentár.
Kontaktovali sme vás na uvedený e-mail.
Platby formou splátok neponúkame.
S pozdravom Implantclinic tím
Dobry den, som muz, mam 27 rokov, a horne zuby mam v zlom stave, vedeli by ste mi povedat kolko by vysla kompletna nahrada hornych zubov s 6 alebo 7 implantatmi ?
Dobrý deň Tomáš,
Ďakujeme vám za váš komentár.
Kontaktovali sme vás na uvedený e-mail.
S pozdravom Implantclinic tím
Ste moja posledna sanca.Tak prosim, precitajte.
Mam 52 rokov a ja uz prakticky ani ziadne zuby nemam.
Som po gyn. opercii,. Po tejto, sa mi zacali kyvat zuby a
jednoduchi mi vypadli.
Ako dieta som niekolko krat rocne uzivala Tetracyklin, pretoze
som mala hnisave zapaly mandli a na Penicilin som mala alergiu.
Dnes ju uz nemam.
V rodine , z kazdej strany boli zuby problemom..
Nemam strach z bolesti, vela vydrzim.
Potrebujem pomoc, Pretoze aj stravu nemozem dobre pozut a
mam velky problem aj travenim..
Mam uz aj osychicke problemy, velmi sa hanbim,. Nemam ziadne
sebavedomie. Som utiahnuta a trpim.
Financne to zvladnem, potrebujem len ludsky pekny pristup.
Dakujem..
Prosim, ozvute sa
Dobrý deň Daniela,
Ďakujeme vám že ste nás kontaktovali.
Budeme radi ak prídete k nám na konzultáciu a veríme že vám pomôžeme.
Kontaktovali sme vás aj na váš e-mail.
S pozdravom Implantclinic tím
Ahoj … Volám sa Tomaš a zajtra mám ist k zubarke … velmi sa bojím … na predných zubaách mam čiernu dieru a v zadu už ani nehovorim …. prosim poradte
Dobrý deň,
Ďakujeme vám že ste nás kontaktovali.
Odporúčame osobnú konzultáciu na klinike na vypracovanie plánu ošetrenia.
Je možné ošetrenie v celkovej narkóze ak by ste mali záujem.
S pozdravom Implantclinic tím
Dobrý deň chcela by som sa informovať o tom koľko by to stálo dať implantáty ale nie na všetky zuby
Dobrý deň Jana,
Ďakujeme vám že ste nás kontaktovali.
Cenník a odpoveď sme vám zaslali na váš e-mail.
S pozdravom Implantclinic tím
Dobry den,chcem sa opytat,mam 21rokov a predne zuby v zlom stave.
Hanbim sa za to,ale chcem konecne ziskat usmev ako kazdy mlady clovek.
Prosim,vedeli by ste mi napisat na mail,
Poslal by som vam foto,chcel by som vediet priblizne o aku cenu by sa jednalo. Velmi pekne Dakujem s Pozdravom Radoslav
Dobrý deň Radoslav,
Ďakujeme vám za váš komentár.
zaslali sme vám e-mail.
Naša klinika má pobočky v Bratislave a v Piešťanoch.
Je potrebná osobná návšteva na klinike na vypracovanie plánu ošetrenia a cenovú kalkuláciu.
Mali by ste záujem o termín?
S pozdravom Smile Clinic tím
Dobrý večer. Mala by som zaujem a opytat sa. Mam strasne dezolantnom stave zuby a velmi zapalene jasna.mam velky strach ze pridem one..prosim vas dalo by sa este stim volaco urobit?
Dobrý deň Jaroslava,
Ďakujeme vám za váš komentár.
Je potrebná konzultácia na našej klinike aby lekár určil spôsob liečby pre vás. Takisto odporúčame návštevu dentálnej hygieničky.Ak by ste mali záujem o termín na našej klinike dajte nám vedieť.
S pozdravom Implantclinic tím
Dobry den. Volam sa Jarka mam 36 rokov. Prosim Vas mam uplne zníčene zuby a aj jasna.. Bala som sa chodit zubarovy.ale chcela by som si to dat spravit. Hanbím sa za to.prosim da sa to liecit. Dakujem za skoru odpoved.
Dobrý deň, mal by som záujem o osobnú konzultáciu a zároveň by som vás chcel požiadať o cenník konkrétnych zákrokov.
Dobrý deň Lukáš,
Ďakujeme vám za komentár.
Cenník sme vám zaslali na váš e-mail.
Mali by ste záujem o termín v Bratislave alebo v Piešťanoch?
S pozdravom Implantclinic tím
Dobry vecer aj ja mam zuby v strasnom stave ,uz sa ani nesmejem .pracujem v obchode a velmi ma trapi ze to doslo az tak daleko chcem sa uz konecne s chuti zasmiat a patrit k ludom co maju radost z kazdeho dna .som z liptova ak mozte poslite mi pribliznu cenu kolko by to stalo dakujem jana b
Dobrý deň,
Ďakujeme vám za komentár.
Bude potrebná osobná konzultácia na klinike na vypracovanie plánu ošetrenia a cenovej ponuky. Ak by ste mali záujem radi vás objednáme
S pozdravom implantclinic tím
dobry den chcela by som si dat vytrhat vsetky zostatky zubov ( mam totiz uz len hnile korene…) a nahradit ich celkovou snimatelnouprotezou, kolko by ma stal tento zakrok? konzultacia, vytrhanie vsetkych zubov, a nahrada? dakujem
Dobrý deň,
Ďakujeme že ste nás kontaktovali.
Žiaľ na našej klinike snímateľné protézy nerobíme preto by sme vám odporučili sa obrátiť na kliniku na ktorej by vám zuby extrahovali a vyhotovili snímateľnú protézu.
S pozdravom
Dobrý deň.Chcela by som sa opýtať,koľko by stálo urobiť nové zuby dospelemu človeku,ktorý ma veľmi pokazené zuby a už sa mu aj spodné začali kývať .Myslím,že už jednine mu ich treba vybrať a nahradiť umelým chrupom.A ako dlho trvá takáto záležitosť, a ešte či je možné ho úplne uspať,kedže má panický strach zo zubárov.Ďakujem.A
Dobrý deň Andy,
Ďakujeme vám za váš komentár.
Odpoveď sme vám zaslali na váš e-mail.
S pozdravom
Implant Clinic
Zdravim volam sa patrik.a pptrebujem pomboct mam problémy s kazmi chcel by som vediet ci dasa neako cez poistovnu vibavit alebo na splatky lebo nemam ziadny prijem a sttasne by som chcel krasny usmev mat a nehanbyt sa nicoho ďakujem.
Dobrý deň Patrik,
Ďakujeme vám za váš komentár.
Naša klinika je súkromná a preto si pacient platí za ošetrenie sám. Ak hľadáte lacnejšiu alternatívu odporúčame vám navštíviť štátnu ambulanciu alebo lekára ktorý spolupracuje s poisťovňami.
Ak by ste mali záujem o konzultáciu a plán ošetrenia a cenovú kalkuláciu radi vás objednáme.
S pozdravom
Implant Clinic tím
Zdravím ja som Adam a mám len 18 rokov a zuby v zlom stave. Hanbím sa za ne keďže predné zuby mám doslova polámané. Mohol by som vedieť koľko by to stálo a čo by ste mi odporučili na štiepenie a polámané zuby? Korunky alebo celé implantáty? Bojím sa že to bude niekoľko tisíc keďže som študent a nemáme ani doma toľko peňazí len tak. Ďakujem za odpoveď.
Dobrý deň, pán Adam,
sme radi, že ste sa na nás obrátili. Viac informácií o ošetrení chrupu na našej klinike sme Vám zaslali e-mailom.
V prípade záujmu Vás rada objednám na osobnú konzultáciu s lekárom, ktorý pre Vás vystaví plán ošetrenia spolu s cenou ošetrenia.
S pozdravom
Petra – Implant Clinic
Dobrý deň,
Zuby mam v dezolatnom stave predovsetkym horne a v poslednom case sa mi zda ze sa mi zacinaju kazit aj dolne, nech robim co robim. Zacalo to tym ze mi neskutocne opuchlo v ustach na mieste kde mam plastiku, koli rastepu. Odvtedy je s mojimi zubmi konec, same zapaly v hornej casti a uz mi to prechadza aj do dolnych zubov, ktore su este pekne ale skor ci neskor sa mi pokazia. Neviem co robit, strasne sa hanbim. Zubara sa az tak nebojim, prezijem koli tomu aby boli pekne ale hanbim sa za to, pred dvoma rokmi som mala krasne zuby a teraz samy kaz a povypadavane, samy zapal. Chcela by som sa vas spytat kolko by stali cisto nove horne zuby a preliecenie spodnych aby sa mi nepokazili tak ako horne. Ďakujem
Dobrý deň Eva,
Ďakujeme vám za váš komentár.
Odpoveď sme vám zaslali na váš e-mail.
S pozdravom
Implant Clinic tím
Dobry deň chcem sa spytat ci by ste mi vedeli pomoct mam zuby v dezolatnom stave a panicky strach zo zubara strasne sa bojim ale uz sa strasne hanbim aj otvorit usta 🙁 prosim vas pomožte mii mam dve male detičky a nechcem im ist takymto prikladom
Dobrý deň,
Ďakujeme vám za váš komentár.
Odporúčame osobnú konzultáciu na klinike na vypracovanie plánu ošetrenia a cenovú kalkuláciu.
Môžete sa objednať e-mailom recepcia(zavináč)smileclinic.sk alebo telefonicky na 033-2028981
Budeme sa tešiť na vašu návštevu na klinike.
S pozdravom
Implant Clinic tím
Dobrý deň, chcela by som sa spýtať aká cena by bola , mám takmer všetky zuby zničené a tiež sa veľmi bojím a hanbím. Chcela by som mať krásny úsmev, veľmi. Usmievať sa a neskrývať. Pomôžte prosím. Ďakujem Vám za odpoveď
Dobrý deň Veronika,
Ďakujeme vám že ste nás kontaktovali.
Nemusíte sa hanbiť ani báť. Sme tu pre vás aby sme vám pomohli.
Odporúčame osobnú konzultáciu na klinike na vypracovanie plánu ošetrenia a cenovú kalkuláciu.
Objednajte sa telefonicky alebo cez kontaktný formulár : http://www.smileclinic.sk/kontakt/
Budeme sa tešiť na vašu návštevu na klinike.
S pozdravom
Implant Clinic tím
Dobry den prajem, volam sa Marcela a .chcela by som sa spytat moje zuby su dost v dezolatnom stave hlavne predne co ma trapi najviac lebo sa neviem poriadne usmievat no velmi sa bojim sadnut do kresla k zubarovi..moj problem spociva v bolesti mam panicky strach a hlavne sa hanbim za moj chrup co na to lekar povie..je u vas mozne ak by som sa odhodlala ze zakroky prebehnu uplne bezbolestne ? dakujem za odpoved
Dobrý deň Marcela,
Ďakujeme vám za komentár.
Nemusíte sa hanbiť ani báť. U nás robíme všetky ošetrenia bezbolestne.
Po osobnej konzultácii vypracujeme plán ošetrenia a cenovú kalkuláciu.
Ak by ste sa potom rozhodli podstúpiť ošetrenie na našej klinike objednáme vás na zákroky.
S pozdravom
Implant Clinic
Dobry den prajem.Volam sa Ivana a mam 26rokov.Mam velky problem so zubami.Mam ich dost vo velmi v zlom stave,ze ledva viem aj jest,nemozem sa smiat ani rozpravat,lebo si zakryvam zuby.Dost caste bolesti mam.Prosim Vas o radu.Budu mi musiet rezat dasna aby mi vybrali zuby?alebo nedalo by sa vybrat viac zubou ako 3?Mam aj tak trocha strachu ale budem ho musiet prekonat.Problem je aj v tom ze sa hanbim ist ku zubarovy nakolko mam takke znicene zuby.
Dakujem
Dobrý deň Ivana,
Ďakujeme vám za váš komentár.
Odpoveď sme vám zaslali na váš e-mail.
S pozdravom
ImplantClinic
Dobrý podvecer,ani neviem kde začať. Neviem ci dokážem vôbec prijst tak sa hanbím. Potrebovala by som vytrhat a nahradit,hlavne horné zuby,všetky mam zle a polamane,ale už sa mi kazia aj dolné a lámu. Usmievať som sa prestala už dávno a nechcem už ani nikam chodiť a ani sa mi nikým rozprávať. Vedeli by ste mi pomoct?
Dobrý deň, pani Lenka,
vážime si, že sa sa rozhodli obrátiť na našu stomatologickú kliniku a veríme, že vám vieme pomôcť sa opäť smiať a užívať si život s funkčným a pekným chrupom.
V prípade, že máte záujem o ošetrenie pomocou implantátov, mostíkov alebo koruniek, môžeme naplánovať nezáväznú vstupnú konzultáciu na klinike v Bratislave alebo v Pieštanoch, poprpípade si zatelefonovať, a ošetrenie by sme Vám priblížili.
Budem čakať na Vašu odpoveď.
S pozdravom,
Petra – Implant Clinic
Dobrý deň mám zuby v dezolátnom stave hrozne sa zubárovi bojím ale sa aj za zuby hanbím som atletická na všetky antibiotiká vás článok ma zaujal chcela by som vedieť čo by to stálo vaše impozantný som rozhodnutá aj na pôžičku .ďakujem
Dobrý deň p. Kubalová,
Ďakujeme vám za komentár.
Odpoveď sme vám zaslali na váš e-mail
Implant Clinic tím