Náhrada Jedného Chýbajúceho Zuba: Kompletný Sprievodca (2026)


Jeden Chýbajúci Zub. Tisíc Nepohodlných Chvíľ.

Viete ten moment. Usmejete sa na fotke a potom ju rýchlo schováte. Hryzete do jablka — ale len na jednej strane. Rozprávate sa s niekým a automaticky si dáte ruku pred ústa.

Chýbajúci zub nie je len estetický problém. Je to každodenný spoločník, na ktorého by ste najradšej zabudli.

A ten najhorší pocit? Keď vám bežný zubár povie: “S tým sa už nedá nič robiť.” Alebo vám navrhne riešenie, ktoré vyzerá ako kompromis.

Dobré správy: Nemusíte sa uspokojiť s kompromisom.

V Implant Clinic sme za 20+ rokov pomohli takmer 20 000 pacientom — vrátane tých, ktorým inde povedali “nie”. A náhrada jedného zuba? To je presne ten prípad, kde moderná implantológia dokáže zázraky.


3 Spôsoby, Ako Nahradiť Chýbajúci Zub (A Ktorý Je Pre Vás?)

Keď príde o zub, máte tri základné možnosti. Každá má svoje miesto — ale nie každá je rovnaká.

Porovnávacia Tabuľka: Implantát vs Mostík vs Snímateľná Náhrada

KritériumZubný ImplantátFixný MostíkSnímateľná Protéza
Životnosť25+ rokov (často doživotne)10-15 rokov5-8 rokov
Pocit pri jedleAko vlastný zubDobrýObmedzený
Brúsenie zdravých zubov❌ Nie✅ Áno (2+ zuby)❌ Nie
Prevencia úbytku kosti✅ Áno❌ Nie❌ Nie
HygienaŠtandardnáNáročnejšiaNáročnejšia
Celková cenaod €1 200od €800od €200
Cena za rok používania~€48/rok*~€60/rok~€30/rok
Počet návštev2-33-42-3

*Pri životnosti 25 rokov


Možnosť 1: Zubný Implantát — Zlatý Štandard

Pre koho: Pre každého, kto chce trvalé riešenie bez kompromisov.

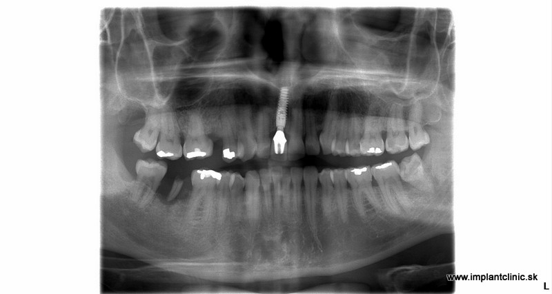
Zubný implantát je titánový “koreň” zavedený priamo do čeľustnej kosti. Na ňom je nasadená keramická korunka, ktorá vyzerá, funguje a aj sa čistí ako váš vlastný zub.

Prečo je implantát najlepšia voľba pre náhradu jedného zuba?

1. Žiadne brúsenie zdravých zubov
Pri mostíku musí zubár obrúsiť dva susedné zdravé zuby, aby na ne mohol “zavesiť” mostík. Pri implantáte? Vaše zdravé zuby zostanú presne tam, kde majú byť — neporušené.

2. Zastavuje úbytok kosti
Keď stratíte zub, kosť v tom mieste začne postupne ustupovať. Implantát tento proces zastaví — stimuluje kosť podobne ako prirodzený koreň.

3. Žiadne prekvapenia o 10 rokov
Mostík bude pravdepodobne potrebovať výmenu. Implantát s doživotnou zárukou? Ten s vami zostane.

Koľko stojí náhrada jedného zuba implantátom?

Kompletná cena v Implant Clinic: od €1 200 do €1 500

Čo je v cene:

  • Titánový implantát prémiovej kvality
  • Implantátová nadstavba (abutment)
  • Keramická korunka
  • Dočasná korunka (nasadená v deň zákroku — bez zubov neodídete!)
  • CT vyšetrenie a plánovanie
  • Doživotná záruka na implantát

Presná cena závisí od pozície zuba a stavu kosti. Dozviete sa ju na bezplatnej konzultácii.


Možnosť 2: Fixný Mostík

Pre koho: Pre pacientov, ktorí už majú susedné zuby ošetrené korunkami, alebo nie sú vhodní kandidáti na implantát.

Mostík “premostí” medzeru medzi dvoma zubami. Je fixný — nemusíte ho vyberať.

Nevýhody mostíka, o ktorých vám možno nepovedali:

  • Brúsenie zdravých zubov: Dva (alebo viac) zdravých zubov musia byť obrúsené na “pahýle”. To môže viesť k ich poškodeniu.
  • Riziko komplikácií: V 5-15% prípadov obrúsený zub neskôr odumrie a vyžaduje ďalšie ošetrenie.
  • Náročnejšia hygiena: Pod mostíkom sa hromadia zvyšky jedla. Potrebujete špeciálne pomôcky.
  • Kosť ďalej ustupuje: Mostík nezastavuje úbytok kosti pod chýbajúcim zubom.

Možnosť 3: Čiastočne Snímateľná Náhrada

Pre koho: Ako dočasné riešenie, alebo keď ostatné možnosti nie sú dostupné.

Plastová báza s umelým zubom, ktorá sa opiera o susedné zuby pomocou kovových spôn.

Úprimne? Väčšina pacientov, ktorí skúsili snímateľnú náhradu, neskôr príde za nami s otázkou: “Existuje niečo lepšie?” Áno, existuje.


Ako Prebieha Zavedenie Implantátu v Implant Clinic?

Návšteva 1: Konzultácia a Plánovanie (Bezplatne)

  • 3D CT scan vašej čeľuste
  • Detailný plán ošetrenia
  • Presná cenová kalkulácia
  • Odpovede na všetky vaše otázky

Návšteva 2: Zavedenie Implantátu (cca 30-45 minút)

  • Lokálna anestézia (nebolí to)
  • Zavedenie implantátu
  • Nasadenie dočasnej korunky — odchádzate so zubom!

Návšteva 3: Nasadenie Finálnej Korunky (po 3-6 mesiacoch)

  • Digitálny odtlačok pomocou 3Shape TRIOS
  • Nasadenie trvalej keramickej korunky
  • Koniec. Hotovo. Večné zuby.

Prípadová Štúdia: Peter, 54 rokov, Bratislava

“Prišiel som o prednú dvojku po úraze. Bežný zubár mi navrhol mostík, ale to by znamenalo obrúsiť dva zdravé zuby. To som nechcel.”

Riešenie: Jeden implantát s keramickou korunkou

Výsledok: Po 6 mesiacoch má Peter zub, ktorý nerozoznáte od vlastných. Žiadne brúsenie. Žiadne kompromisy.

Cena: €1 350 (implantát + nadstavba + korunka)


Časté Otázky o Náhrade Jedného Zuba

Bolí zavedenie implantátu?

Nie. Zákrok prebieha v lokálnej anestézii. Pacienti často hovoria, že extrakcia zuba bola nepríjemnejšia. Po zákroku môžete cítiť mierny tlak 2–3 dni — nič, čo by nevyriešil bežný liek proti bolesti.

Ako dlho trvá celý proces?

Od prvej konzultácie po nasadenie finálnej korunky: 3–6 mesiacov. Záleží na hojení kosti (ktoré je individuálne). Dôležité: Bez zubov nikdy neodídete — dočasnú korunku dostanete v deň zavedenia implantátu.

Môžem dostať implantát, ak mi chýba zub už roky?

Áno. Ale čím dlhšie čakáte, tým viac kosti ubúda. V niektorých prípadoch je potrebné kosť doplniť (augmentácia). Preto odporúčame neodkladať konzultáciu — aj keď sa ešte nerozhodujete.

Je implantát vhodný pre diabetikov?

Áno, pre väčšinu diabetikov s kontrolovanou glykémiou je implantácia bezpečná. Na konzultácii zhodnotíme váš zdravotný stav.

Čo ak nemám dosť kosti?

Špecializujeme sa na komplexné prípady. Aj pri výraznom úbytku kosti existujú riešenia — od kostnej augmentácie po špeciálne techniky zavedenia. Toto je presne to, čo robíme inak ako bežné ambulancie.

Aká je záruka na implantát?

Doživotná záruka na implantát. Na korunku 5 rokov. Sme si istí kvalitou našej práce.


Prečo Implant Clinic?

Špecialisti, Nie Všeobecní Zubári

Nerobíme všetko. Robíme implantáty — a robíme ich najlepšie. To je všetko.

20+ Rokov Skúseností, Takmer 20 000 Zákrokov

Kde iní váhajú, my máme riešenie. Špecializujeme sa na prípady, ktoré bežné ambulancie odmietajú.

Doživotná Záruka

Stojíme si za našou prácou. Doslova. Navždy.

Dve Lokality Pre Váš Komfort

  • Bratislava — pri letisku (ideálne pre pacientov z Viedne a zahraničia)
  • Piešťany — v centre mesta
  • Praha – Coskoro

Ste Pripravení Na Zmenu?

Bezplatná konzultácia zahŕňa:
✓ 3D CT scan vašej čeľuste
✓ Detailný plán ošetrenia
✓ Presnú cenovú kalkuláciu
✓ Odpovede na všetky vaše otázky

Bez záväzkov. Bez tlaku. Len odpovede.

Objednať sa na bezplatnú konzultáciu →


📞 +421 949 007 179

Bratislava | Piešťany | Praha



Posledná aktualizácia: Marec 2026



Informácie na tejto stránke slúžia na všeobecné účely a nenahrádzajú odbornú konzultáciu. Pre presné posúdenie vašej situácie vám odporúčame osobnú návštevu na klinike.

34 Responses

  1. Dobrý deň prajem,

    Prosím, koľko implantátov potrebujem, ak mi chýbajú dole viaceré zuby?
    Konkrétne, dole mám 7 predných zubov, na pravej strane končí tzv. “očný zub”, a na ľavej strane mám ešte jeden za “očným”. Sú obrúsené.
    Potrebujem” premostiť”, a chcela by som tak, aby som mala dokopy dole 14 zubov . Hlavne to ma zaujíma, že koľko implantátov potrebujem!
    Ďakujem.

    1. Dobrý deň pani Júlia,
      ďakujeme, že ste kontaktovali našu kliniku Smile Clinic. Najlepšie by bolo keby ste nám poslali Váš rontgenový snímok alebo fotografiu Vašich zubov, aby sme vedeli lepšie posúdiť stav zubov a kosti. Budeme Vás kontaktovať mailom a skúsime nájsť to najvhodnejšie riešenie pre Vás 🙂
      S pozdravom,
      Smile Clinic Tím

  2. Dobrý deň, prosím Vás mám mŕtvy zub hornú 2. Dá sa implantát vsadiť ihneď po odstránení zuba, / keď je pripravený implantát/, alebo sa čaká na zahojenie rany? Ďakujem

    1. Dobrý deň, pani Janka

      Ďakujeme, že ste kontaktovali Smile clinic ohľadom zubnej implantácie.
      Áno, zubný implantát implantujeme hneď po extrakcii. Viac informácii Vám posielame od emailu.

      S pozdravom

      Tím Smile clinic

  3. dobry den prisiel som o zub pod mostikom sestku jedna sa o mostik zuby tri az sest staci mi tu sestku nahradit implantatom alebo treba viac ?? dakujem

    1. Dobrý deň, pán Peter

      Ďakujeme za Vašu správu ohľadom zubnej náhrady.
      Pre viac špecifických detailov sme Vás kontaktovali emailom. Sme tu, aby sme Vám pomohli.

      S pozdravom

      Tím Smile clinic

  4. Dobrý deň. Chcela by som sa opýtať či zubný implantát sa dá zaplatiť aj na splátky. Ďakujem.

    1. Dobrý deň, pani Renáta

      Ďakujeme, že ste kontaktovali Smile clinic.

      Platba za zubný implantát je rozdelená na tri časti. Pri prvom ošetrení je potrebné uhradiť 70% z celkovej sumy za ošetrenie. Zvyšných 30% sumy sa uhrádza počas druhej a tretej návštevy.
      Mali by ste záujem o termín na jednej z našich kliník v Bratislave alebo v Piešťanoch?

      S pozdravom
      Tím Smile clinic

  5. Vypadol mi zub cislo 5 vpravo dole..co by stala kompletne cela procedura implantatu tohto jedneho zubu? Vdaka

    1. Dobrý deň, pán Peter

      Ďakujeme, že ste kontaktovali Smile clinic ohľadom zubného implantátu.
      Radi Vám poskytneme informácie o cene za spomínané ošetrenie a taktiež o celej procedúre.
      Kontaktovali sme Vás e-mailom.

      S pozdravom

      Tím Smile clinic

  6. Dobry den,prosim orientacne cenu na vybratie starej korunky a zavedenie noveho implantatu..je to horna 5tka. Dakujem.

    1. Dobrý deň p. Denisa,
      ďakujeme za Váš komentár.

      Cena za extrakciu, implantáciu, implantátovú nadstavbu a keramickú zubnú korunku spolu je cca 1200-1500Eur. Provizórna korunka je pacientom nasadená v deň implantácie bezplatne.

      Termín si môžete objednať na pobočke v Bratislave alebo v Piešťanoch.

      Tešíme sa na Vašu návštevu

  7. Dobrý deň,chcem sa spýtať koľko by ma stál implantát hornej dvojky zub mám už vytrhnutý ďakujem

    1. Dobrý deň, pani Daniela.

      Ďakujeme, že ste kontaktovali našu zubnú kliniku ohľadom ceny za implantáciu hornej dvojky. Prosím, skontrolujte Vašu e-mailovú schránku. Kontaktovali sme Vás e-mailom, aby sme Vám mohli poskytnúť viac informácií o Vašom ošetrení.
      S pozdravom,
      Smile Clinic

  8. Dobry den, chcel by som vas poprosit o cenovu ponuku jedneho zubneho implantatu, ide o 6ku zub dole. Kolko by stala orientacne cela procedura od extrakcie zvysku mrtvej 6ky, cez CTscan, po implantat s nadstavbou a korunkou? Dakujem

    1. Dobrý deň, pán Ivan

      Ďakujeme, že ste kontaktovali našu zubnú kliniku ohľadom ceny zubného implantátu a procedúry s ním súvisiacej. Kontaktovali sme Vás e-mailom.
      S pozdravom
      Implant Clinic

  9. Dobrý den mohla by som poprosit cennik inplantatov? Totiz ore mi chybaju od 5,6,7 a mam zly pocit ze zachvilu to bude aj styrka:/.

    1. Dobrý deň, pani Alexa,
      ďakujeme, že ste nás kontaktovali ohľadom náhrady horných chýbajúcich zubov pomocou implantátov.
      E-mailom som Vám poslala link pomocou ktorého si naplánujete rýchly telefonát so mnou alebo mojou kolegyňou, vysvetlíme Vám proces ošetrenia a v prípade záujmu Vás objednáme na konzultáciu k lekárovi.
      Prosím, skontrolujte Vašu e-mailovú schránku.

      Prajem pekný deň
      Petra – Smile Clinic

  10. Dobrý deň chýbajú mi dve za sebou idúce stoličky6 a 7 koľko by stál implantát stačil by jeden aby udržal obe stoličky? Ďakujem

    1. Dobrý deň Peter,
      Ďakujeme vám za komentár. Pri dvoch vedľa seba chýbajúcich zuboch sú potrebné dva implantáty. Jeden nie je postačujúci. Ak by ste mali záujem o termín konzultácie radi vás objednáme.

      Implant Clinic team

  11. Dobrý deň,
    chcela by som Vás poprosiť o cenovú ponuku zubného implantátu a čo všetko to zahŕňa. Jedná sa o 6-ku zub. Ďakujem veľmi pekne.

    1. Dobrý deň, pani Gabriela.

      Ďakujeme, že ste nás kontaltovali.
      Viac informácií o zubných implntátoch spolu s cenou sme Vám zaslali na uvedený e-mail.

      S pozdravom

      Petra – Implant Clinic

      1. Dobrý deň. Dnes som bola na extrakcii 7cky hore. Ostala mi tam 8cka, doktor hovorí, že je možné že sa ešte bude posúvať, keďže nie je celá prerezana. Mám 26 rokov. Chcela som sa informovať o náhrade, či je mozne 7cku nahradiť implantátom alebo nechať priestor pre 8cku. Poprípade by som poprosila o cenník implantátu. Ďakujem

        1. Dobrý deň p. Lenka,
          je nám ľúto, že ste prišli o zub č.7. Keďže sa jedná o zub molár, ktorý je veľmi potrebný pre žuvaciu schopnosť chrupu, áno odporúčali by sme ho nahradiť zubným implantátom.
          Cena za jeden zubný implantát, spolu s korunkou a nadstavbou je cca od 1000Eur. Odporúčame konzultáciu priamo na klinike v Bratislave alebo Piešťanoch, zhotovenie RTG a CT snímkov pred plánovaním liečby.
          Termín si môžete objednať cez kontaktný formulár : https://www.implantclinic.sk/kontakt/

          Tešíme sa na Vašu návštevu,

          S pozdravom,

          Natália

  12. Dobrý deň,
    prosím Vás o cenovú ponuku na implantát hornej 5-ky. Vopred ďakujem.

    1. Dobrý deň Michaela,

      Ďakujeme vám za váš komentár.

      Cenu a postup ošetrenia sme vám zaslali na váš e-mail

      S pozdravom Implantclinic tím

  13. Dobrý deň. Koľko stojí implantát jedného zuba? Prosim komplet cenu, nie cennik pretože neviem čo súvisi s implantantom. Ďakujem.

    1. Dobrý deň Lenka,

      Ďakujeme vám za váš komentár.

      Cenu za ošetrenie sme vám zaslali na váš e-mail

      S pozdravom Implantclinic tím

      1. Dobrý deň, chcela by som sa opýtať, koľko stojí náhrada jedného zuba. Čiastočne snímateľnú zubnú náhradu myslím.

        1. Dobrý deň p. Judita,
          náhradu jedného zuba Vám môžeme ponúknuť pomocou zubného implantátu. Toto je fixné riešenie náhrady zuba. Čiastočne snímateľnú náhradu zuba bohužiaľ neponúkame, pretože uprednostňujeme skôr fixné riešenie.

          Na Váš email som Vám poslala viac informácii o fixnej náhrade jedného zuby – zubnom implantáte.

          S pozdravom,

    2. Kolko implatatov potrebujem ked nemam ani jeden zub v dôsledku paradentozy a je potrebne cely chrup urobit aj zubnu kost doplnit.

      1. Dobrý deň, pani Natália,
        ďakujeme za otázku. Zvyčajne je potrebných 4 – 6 zubných implantátov, ktoré podopierajú 12 až 14 členný keramický mostík. Presný počet implantátov stanovuje lekár počas osobnej konzultácie na základe CT scanu. V prípade záujmu o nezáväznú konzultáciu nás neváhajte kontaktovať.

        S pozdravom
        Petra – Implant Clinic

  14. Dobry den. Chyba mi 1 zub dvojka už 2 roky. Kolko stoji implantant? Prosim komplet cenu, nie cennik pretože neviem čo súvisi s implantantom. Ďakujem. Som z Bratislavy. S pozdravom.

    1. Dobrý deň Alžbeta,

      Ďakujeme vám že ste nás kontaktovali.

      Cenník a odpoveď sme vám zaslali na váš e-mail.

      S pozdravom Implantclinic tím

Leave a Reply

Your email address will not be published. Required fields are marked *

Napíšte nám na WhatsApp