Žiarivo biely úsmev – vaša nová vizitka
Žiarivo biely úsmev vždy priťahuje pozornosť. Keď rozdávate úsmev, šírite dobrú náladu a inšpirujete ľudí okolo seba. Ak sa so svojimi zubami cítite spokojne, pôsobíte sebavedomejšie a pozitívnejšie. Nové zuby vám otvoria dvere k novému začiatku a zmenia každý deň k lepšiemu.
Prečo úsmev mení život?
Zuby nielen zdobia tvár, ale aj pomáhajú prijímať stravu a rozprávať. Ak zuby nefungujú správne, ovplyvňujú každodenný život. Preto sa oplatí investovať do riešenia, ktoré vráti radosť zo života a zlepší sebavedomie.

Príbeh pacienta: Nový úsmev, nový život
Jeden z našich pacientov povedal:
„Cítim sa ako znovu zrodený. Môj žiarivo biely úsmev ma núti usmievať sa celý deň.“
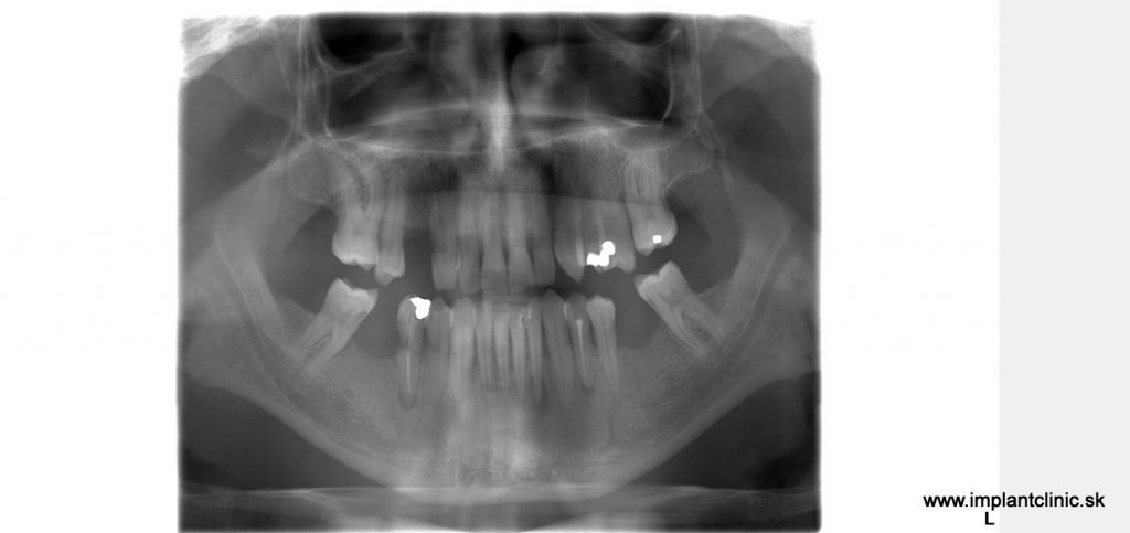
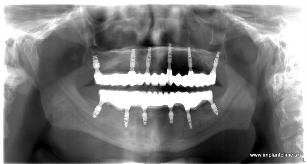
Tento pán prišiel s narušenou žuvacou funkciou. Po konzultácii s implantológom sme navrhli plán: zaviedli sme 6 zubných implantátov a nasadili 14-členný mostík do oboch čeľustí. Ošetrenie sme rozdelili na dve sedenia, aby sme zabezpečili pohodlie a plynulý priebeh.
Ako prebieha rekonštrukcia chrupu?
- Konzultácia a plánovanie
Prídete do Bratislavy pri letisku alebo do Piešťan. Vysvetlíme všetky možnosti, pozrieme sa na vaše zuby a navrhneme riešenie na mieru. - Použitie top materiálov
Zuná klinika a laboratórium pod jednou strechou, nám umožňuje rýchlo a kvalitne vyrobiť nové zuby. - Zavedenie implantátov
Skúsený tím zavedie implantáty s použitím moderných anestetík. Zabezpečíme pohodlie a bezpečnosť počas celého zákroku. - Nasadenie dočasného mostíka
Hneď po implantácii nasadíme dočasný mostík. Umožníme vám jesť mäkkú stravu, rozprávať a smiať sa už od prvého dňa. - Hojenie a výber farby
Počas 2–3 mesiacov sa implantáty hoja. Vyberiete si odtieň finálnych zubov – prirodzene biely alebo žiarivo biely. - Finálne zuby
Nasadíme trvalé keramické korunky. Získate pevné, krásne a funkčné zuby, ktoré zmenia váš život.


Prečo si vybrať Smile Clinic Slovakia?
- Špecializujeme sa na celkové rekonštrukcie chrupu.
- Prevádzkujeme dve miesta: Bratislava pri letisku a v kúpeľnom meste Piešťany.
- Privítame pacientov z celého sveta, dôverujú nám aj iní zubári.
- Každý pacient má vlastného koordinátora, ktorý sprevádza celým procesom.
- Pracujeme s top materiálmi a laboratóriom.
- Ponúkame jednoduché ceny – all-inclusive, žiadne skryté doplatky.
- Hovoríme anglicky, nemecky, slovensky aj kórejsky.
- Umožňujeme zuby na splátky.
Koľko stojí nový úsmev?
Kliknite na konkrétne ošetrenie a zistíte jeho cenu aj celý proces. Naše ceny zostávajú konečné, all-inclusive. V cenníku nájdete presnú sumu, ktorú zaplatíte. Nepripravíme žiadne prekvapenia.
Nové zuby na splátky
Chápeme, že investícia do nových zubov predstavuje veľké rozhodnutie. Preto ponúkame možnosť zubov na splátky. Umožníme tak nový úsmev naozaj každému.
Večné zuby s doživotnou zárukou
Na zubné implantáty poskytujeme doživotnú mechanickú záruku. Ak sa niečo pokazí, opravíme to. Férovosť a ľudský prístup považujeme za základ. Preto k nám prichádzajú pacienti z celého sveta.
Nové zuby prinášajú radosť, zdravie a sebavedomie. V Smile Clinic Slovakia ukazujeme, že aj vy môžete získať úsmev, na ktorý budete hrdí. Príďte sa porozprávať. Možno už o pár týždňov zažiarite novým úsmevom.
2 Responses
Dobry chcel by som sa opytat z hornej celusti mi ostali 4 zuby vo frontalnom useku ale su uz zahnednute od korena takze neviem ci sa budu dat zachranit ale mam aj stolicky.Tak mam otazku misto all on four by sa dali nastrelit abutmenty na 10 zubov v hornej celusti systemom abutmentov strauman szo zirkom Lava espe ,alebo e max…tj kolko zubov tolko abutmentov…dakujem za skoru odpoved
Dobrý deň,
Ďakujeme vám za váš komentár.
Odpoveď sme vám zaslali na váš e-mail.
S pozdravom
Implant Clinic tím