Rekonštrukcia chrupu v celkovej narkóze je riešením pre pacientov ktorí majú neprekonateľný strach z ošetrenia. Ďalšími indikáciami na ošetrenie v ambulantnej celkovej narkóze je aj časovo náročný stomatologický zákrok, vysoký dávivý reflex, mentálne postihnutie alebo na žiadosť pacienta.
Zanedbávanie pravidelných prehliadok a zlá orálna hygiena je najčastejším dôvodom ochorení parodontu. Ak tieto ochorenia neliečime a ignorujeme, dôsledky môžu byť vážne. Najčastejším signálom zápalu je krvácanie pri podráždení a začervenanie ďasna. Takéto prejavy signalizujú, že niečo nie je v poriadku. Treba navštíviť lekára ktorý odhalí príčinu krvácania. Ďalším dôvodom prečo naši pacienti prichádzajú o zuby je strach z ošetrenia.
V Implant Clinic ponúkame riešenie pre pacientov ktorí majú strach z ošetrenia.
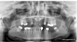
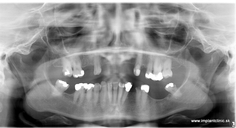
Prvým krokom k ošetreniu v celkovej narkóze je konzultácia v Implantclinic. Zubný lekár na základe prehliadky a OPG snímku navrhne plán liečby. Pacient počas konzultácie dostane priestor na otázky. Kladieme dôraz na to, aby pacient porozumel svojmu plánu ošetrenia.
Čo nájdete v pláne ošetrenia?
V pláne ošetrenia nájdete Vaše konkrétne naplánované zákroky, ceny, počet návštev potrebných na dokončenie ošetrenia a informácie o klinike.
Rekonštrukciu chrupu v celkovej narkóze podstúpila aj naša pacientka Jana. Objednala sa na bezplatnú konzultáciu v Implantclinic. MUDr. Salka navrhol pacientke následovný plán ošetrenia.
Čo obnáša rekonštrukcia chrupu v celkovej narkóze?
Vrchná čeľusť : 5 extrakcií, 6 zubných implantátov, 12 – členný keramický mostík
Spodná čeľusť: 11 extrakcií 6 zubných implantátov 12 – členný keramický mostík
Pacientka Jana musela pred ošetrením v celkovej narkóze podstúpiť predoperačné vyšetrenia u interného lekára. Ak výsledky všetkých predoperačných testov spĺňajú kritéria potrebné na ošetrenie v ambulantnej celkovej narkóze pacienta objednáme na zákrok. Zvyčajne je to v ranných hodinách, aby pacient mal po prebratí čas na stabilizáciu v ambulancii. Po súhlase anestéziológa pacienta prepustíme približne do dvoch hodín do domácej liečby v sprievode dospelej osoby.
V prípade našej pacientky Jany sa po extrakciách začalo implantovať do oboch čeľustí. MUDr. Salka zaviedol spolu 12 zubných implantátov. Celé ošetrenie v tomto prípade trvalo 5 hodín. Je to maximálny počet hodín na ošetrenie v ambulantnej celkovej narkóze.
V Implantclinic pacienti neodchádzajú po implantácii domov bez provizórneho dočasného chrupu. Pacientom nasádzame na implantáty živicový mostík vystužený titánovou konštrukciou pre maximálnu pevnosť a stabilitu. To znamená, estetika chrupu nie je počas doby hojenia narušená. Pacient sa asi po 10 dňoch vracia na kliniku na kontrolu a odstránenie stehov. Bezprostredne o implantácii pacienti musia konzumovať tekutú stravu, aby sa nezaťažovali zubné implantáty a aby hojenie prebehlo bez komplikácii. Po niekoľkých dňoch môžu tekutú stravu nahradiť mäkkou stravou a to po celú dobu hojenia zubných implantátov.
Potom nasleduje fáza hojenia, ktorá zvyčajne trvá 2-4 mesiace. Odobratie odtlačkov je predposledným krokom k vášmu novému úsmevu v Implantclinic. Výroba keramických mostíkov trvá našim zubným technikom približne 2 – 3 týždne. Keramické mostíky sa potom nasadia fixne na zahojené implantáty. Farbu zubných koruniek si pacient vyberá sám.



58 Responses
Dobrý deň prajem chcel bi som sa presnejšie informovať ohľadom vitrhani všetkých zubov a komplet nové horné aj spodné zuby a koľko by to stálo a či je možnosť platby na splátky.za odpoveď vopred ďakujem .
Dobrý deň, pán Jozef
Ďakujeme, že ste kontaktovali Smile clinic ohľadom celkovej rekonštrukcie chrupu.
Prikladáme link, kde nájdete 3 varianty za toto ošetrenie:
https://www.implantclinic.sk/cena-zubnych-implantatov/
V prípade otázok nás neváhajte kontaktovať na emailovej adrese recepcia@smileclinic.sk.
S pozdravom
Tím Smile clinic
Dobrý deň chcel by som sa spýtať koľko by stálo komplet horné aj dolne nové zuby …..pod úplnou narkozou
Dobrý deň, pán Jakub
Ďakujeme, že ste sa obrátili na Smile clinic ohľadom celkovej rekonštrukcie chrupu pod celkovou anestéziou.
Kontaktovali sme Vás e-mailom.
S pozdravom
Tím Smile clinic
Dobry Den vedeli by ste mi ppvedat co by satala oprava vrchnych zubov v celkovej narkoze. Dakujem
Dobrý deň, pán Martin
Ďakujeme, že ste nás kontaktovali. Radi Vám poskytneme informácie o oprave vrchných zubov. Potrebovali by sme od Vás ešte doplňujúce informácie o stave Vášho chrupu. Prosím, neváhajte a využite možnosť rýchleho rozhovoru, ktorý si môžete naplánovať po rozkliknutí tohto linku: https://smileclinic.as.me/local-quick-call
Budeme sa tešiť na rozhovor.
S pozdravom
Tím Smile clinic
Dobrý deň mala by som záujem o vytrhanie zubou pod narkozou a oprava celého hrupu prosím cena koľko by ma to vyslo
Dobrý deň, pani Terka.
Ďakujeme, že ste nás kontaktovali ohľadom ošetrenia zubov v celkovej anestézii.
Odpovedali sme Vám e-mailom.
S pozdravom
Tím Smile clinic
Dobry den mal by som.zaujem o vytrhnutie zubov asi 4 ale mam panicky strach so subarov je moze aby ste mi to vytrhli v narkoze . Dakujem.za info
Dobrý deň p Ivan,
keď treba vytrhneme aj v narkóze. Ako náhradu vytrhnutých zubov Vám môžme ponúknuť zubné implantáty.
Postup je taký,že treba sa objednať na vstupnú konzultáciu, telefonicky alebo emailom. https://www.smileclinic.sk/
Tešíme sa na Vašu návštevu,
PS : Konzultácie sa báť nemusíte, iba sa porozprávame
Dobry den mohli by ste mi priblizne povedat kolko by ma stali horne tri zuby dva vo su pri ocnych a jeden hned prvy a ten sa mi kyve a asi ako dlho by som bola v narkoze?dakujeeem
Dobry vecer!prosim Vas priblizna cena prednych 3 zubov oprava mozno aj nove ked ze sa aj kyvu v narkoze
Dobrý deň, pani Andrea,
ďakujeme za zanechanie komentáru. Ceníme si váš záujem o opravu resp. výmenu predných 3 zubov v narkóze. E-mailom som Vám zaslala informácie o ďalšom postupe.
Prosím, skontrolujte Vašu e-mailovú schránku.
S prianím pekného dňa
Petra – Smile Clinic
Dobrý deň tiež by som potrebovala opraviť 3 predné zuby ale vzhľadom nato ze mam rešpekt pred bolesťou a zubárom chcela by som sa spýtať na celkovú aneztezu co to obnasa a aký by bol postup a koľko by to stalo. Ďakujem
Dobrý deň,
ďakujeme za Váš komentár.
Pre pacientov, kt majú strach z ošetrenia u zubného lekára môžeme ponúknuť: ošetrenie v sedácii, alebo v celkovej narkóze za prítomnosti anestéziológa. Pred ošetrením v celkovej narkóze sú potrebné predoperačné vyšetrenia.
Postup by bol nasledovný: prišli by ste na vstupnú konzultáciu, na základe snímku by sme naplánovali ošetrenie a pvypočítali presnú cenu za ošetrenie. Cena sedácie / narkózy obvykle záleží od dĺžky ošetrenia.
Kedy by sme Vám mohli naplánovať vstupnú konzultáciu ?
S pozdravom,
Natália
Dobrý deň.Rada by som sa informovala či je možné navštíviť vašu kliniku za účelom trhania zubov pod celkovou narkózou a aká by bola približná cena zákroku aj s narkózou..Na vytrhnutie mám 4 stoličky a cca 11 zubov.Za odpoveď Vám vopred ďakujem.
Dobrý deň, pani Erika,
ďakujeme, že ste nás kontaktovali. Máte záujem aj o náhradu zubov v celkovej narkóze?
E-mailom som Vám zaslala link na rezervovanie telefonického hovoru, aby som Vám ja alebo kolegyňa mohla vysvetliť detaily ohľadom ošetrenia.
Prosím, skontrolujte Vašu e-mailovú schránku.
S pozdravom
Petra
Dobrý večer.prosim Vás pekne mám 28 rokov a 3 krásne deti a moje zuby som zanedbala strašne sa bojím zubárov nie raz som zutekala od zubára priamo z kresla.no odhodlala som sa ísť k zubárke a musím si dať spravyt mostík predných vrchných 8 zubov.moja doktorka mi povedala ze sa to dat aj pod narkóze ona to však nerobí. Viete mi prosím povedať aspoň približný sumu ???ďakujem vám
Dobrý deň, pani Veronika
Ďakujeme, že ste nás kontaktovali ohľadom zubného mostíka. Brúsenie zubov na celokeramické korunky v celkovej anestéze nevykonávame, avšak lokálna anestéza je dostatočne silná na to, aby pacient nemal žiadne nepríjemné pocity. Cena jednej celokeramickej korunky je 397 eur.
Avšak pred stanovením presného plánu ošetrenia s výslednou sumou je potrebné absolvovať konzultáciu na jednej z našich kliník v Bratislave alebo v Piešťanoch. Mali by ste záujem o termín?
S pozdravom
Tím Smile clinic
Dobrý deň, chcela by som sa opýtať koľko viete najviac naraz vytrhnúť zubov v celkovej narkoze? Potrebujem vytrhnúť 25zubov a koľko by to stálo?
Dobrý deň, pani Veronika
Ďakujeme, že ste sa obrátil na Smile clinic ohľadom extrakcie zubov.
Kontaktovali sme Vás e-mailom s ďalšími informáciami.
S pozdravom
Tím Smile clinic
Dobrý deň, poprosím Vás o zaslanie cenníka Vašich služieb na email. Zaujíma ma hlavne cena rekonštrukcie alebo opravy chrupu v celkovej anestéze.
Dobrý deň p. Nikola. ďakujeme za komentár.
Rada by som Vám zatelefonovala a vysvetlila Vám možnosti liečby pri celkovej rekonštrukcii zubného oblúka v narkóze. Na Váš email som Vám poslala link, ako si naplánovať telefonický rozhovor.
Teším sa na spoločný rozhovor,
S pozdravom,
Natália
Dobrý deň, tiež by som vás poprosila o cenník
Dobrý deň p. Monika, ďakujeme že ste nám napísali.
Napíšte nám prosím o aké ošetrenie by ste mali záujem: napr. náhrada chýbajúcich zubov, alebo oprava kazov, a pod, aby sme Vám vedeli poslať čo najpresnejší cenník a postup ošetrenie.
Budeme čakať na Vašu správu,
Natália
Dobrý deň rád by som sa opýtal koľko by stála takáto rekonštrukcia chrupu ?
Dobrý deň, pán Pavol,
ďakujeme, že ste sa na nás obrátili. Kontaktovali sme Vás e-mailom.
S pozdravom
Petra – Implant Clinic
Dobry den,
Poprosim vas o zaslanie cenniku ma mail.
Rad by som vedel informacie o cenach zakrokov v narkoze a ci preplaca zdravotna poistovna Union taketo zakroky, alebo nie.
A ci sa da uplatnit na dentalnu hygienu v narkoze prispevok 100 eur od ZP Union.
Dakujem velmi pekne
Dobrý deň,
Ďakujeme vám že ste nás kontaktovali. Všetky informácie čo sa týka preplácania zdravotného poistenia u nezmluvného lekára si musíte zistiť vo svojej poisťovni. Cenník sme vám zaslali na mail.
S pozdravom Smile Clinic
Dobry deň zaujímala by ma cena kompletnej rekonštrukcie chrupu
Dobrý deň, pán Juraj,
ďakujeme za zanechanie komentáru. Cenu komplexnej rekonštrukcie chrupu sme vám zaslali e-mailom.
V prípade záujmu o ošetrenie je najprv potrebné absolvovať osobnú konzultáciu s chirurgom.
Radi Vás objednáme.
S pozdravom
Petra – Implant Clinic
Koľko stojí celková enesteza na hodinu alebo na 4 hodiny…..dakujem
Dobrý deň,
Ďakujeme vám za váš komentár.
CELKOVÁ ANESTÉZIA (NARKÓZA)
Ošetrenie v celkovej anestézii je vhodné pre pacientov, ktorých čaká časovo náročný stomatologický zákrok. Celková anestézia je vhodná aj pre ľudí, ktorí majú veľký strach zo zubného ošetrenia. Pred týmto ošetrením je potrebné kompletné predoperačné vyšetrenie u interného lekára. Skúsený anestéziológ s dlhoročnou praxou sa postará o priebeh tohto ošetrenia. Tento ambulantný výkon v celkovej anestézii umožňuje, aby bol pacient v deň operácie prepustený do domáceho ošetrenia.
Cena za prvú hodinu ošetrenia v celkovej anestézii je 200 EUR, cena za každú ďalšiu hodinu je 120 EUR.
Dĺžka celkovej narkózy záleží od rozsahu ošetrenia, maximálne však 4 – 5 hodín.
Po narkóze zostáva pacient na klinike na pozorovaní niekoľko hodín, až pokým nie je schopný samostatného pohybu. Pacient musí odísť z kliniky domov v sprievode inej dospelej osoby.
Viac o celkovej anestéze sa dočítate v našom článku: http://www.smileclinic.sk/celkova-anestezia/
S pozdravom Implantclinic
dobrý den poprosil by som zaslat cenu kompletnej rekonštrukcie v uplnej anesteze. dakujem
Dobrý deň Filip,
Ďakujeme vám za váš komentár.
Kontaktovali sme vás na uvedený e-mail.
S pozdravom Implantclinic tím
Dobrý deň želám, tiež som na tom podobne s panikou a stavom chrupu ako ľudia v predchádzajúcich komentároch a tiež ma zaujala Vaša práca, snáď by to mohlo byť pre mňa riešenie….pošlite mi prosím cenník, nech mám aspoň približnú predstavu . Ďakujem
Dobrý deň Monika,
Ďakujeme vám za komentár.
Skúšali sme vám zaslať odpoveď, ale mail sa nám vrátil.
Skúste nám preposlať adresu ešte raz.
S pozdravom Implantclinic
Dobrý deň,
poprosím vás o približnú cenu kompletnej rekonštrukcie chrupu ako u p.Janky?
Ďakujem
Dobrý deň Martin,
Ďakujeme vám za komentár.
Cenník sme vám zaslali na váš e-mail.
Mali by ste záujem o termín v Bratislave alebo v Piešťanoch?
S pozdravom Implantclinic tím
Dobrý deň, chcel by som sa opýtať koľko by cca stála rekonštrukcia môjho chrupu ktorý je vo veľmi zlom stave (nenavstevoval som zubára koli strachu…) co nechcem ďalej aby tak bolo v mojom nízkom veku vrchná časť chrupu v dezolátnom stave spodná časť na tom lepšie
Dobrý deň p. Tomáš,
Ďakujeme vám za váš komentár.
Odpoveď sme vám zaslali na váš e-mail.
S pozdravom Implantclinic tím
Dobrý deň. Mám niektoré zuby pokazené, niektoré už celé rozpadnuté. Už mi hnisajú ďasná. Mám ale panický strach zo zubárov.h zo zubárov. Chcel by som odstrániť kompletne všetky zuby a nahradiť ich za nové. Zaujímalo by ma aký by bol postup a cena rekonštrukcie. Za odpoveď ďakujem
Dobrý deň, pán Marek,
sme radi, že ste sa na nás obrátili. Viac informácií o kompletnej rekonštrukcii chrupu sme vám zaslali e-mailom.
V prípade otázok sme Vám k dispozícii.
S pozdravom
Petra – Implant Clinic
Dobrý večer!Poprosím cennik prednych jenotiek hore v narkoze trhanie a aj nahrady a od akeho veku je možne syn ma v nich kaz ktorí obvodny stomatolog bude opravovať syn bude mať len 8 rokov
2 rokoch si dolamsl mliečne vrchne jednotky pádom 🙁 neviem či tie kazy môžu tym súvisieť keď sivich umýva.
Dobrý deň,
bohužiaľ na ošetrenie detí sa na klinike nesústredíme, tak Vám nebudeme vedieť pomôcť.
Pokiaľ má ale syn zuby pokazené, odporúčali by sme ich opraviť – ak sa dajú a nie hneď trhať, keďže sú to zuby už trvalé.
Zubné implantáty sa odporúčajú až od veku 18 rokov.
Držíme palce, aby to dobre dopadlo.
Dobrý deň rád by som sa opýtal koľko by stála takáto rekonštrukcia chrupu ?
Dobrý den,
Veľmi ma zaujali pozitívne recenzie k Vašej práci.Asi by som opakoval predošlé príspevky. Zaujíma ma cenová relácia komplet výmeny chrupu v anestéze. Taktiež jeho trvanlivosť a možné úskalia-nástrahy,čo sa môže stať.
Dakujem za cenne odpovede.
S pozdravom Martin V.
Dobrý deň p. Martin,
Ďakujeme vám za váš komentár.
Odpoveď sme vám zaslali na váš e-mail.
S pozdravom Implantclinic tím
Dobrý deň
Chcela by som sa spýtať či by ste mi prosím mohli zaslať cenník ak by som mala záujem o celkovú rekonštrukciu chrupu….. ďakujem pekne
Dobrý deň, pani Katarína,
ďakujeme, že ste nás kontaktovali.
Odpovedali sme Vám e-mailom, aby sme Vám mohli podať viac informácií o celkovej rekonštrukcii chrupu.
S prianím pekného dňa
Smile Clinic
Dobrý deň, mám problém so spodným chrupom na keďže mám panický strach zo zubárov, je pre mňa ťažké ísť na ošetrenie. Chcela by som a opýtať koľko by mohla stať úprava chrupu poprípade koľko to vyšlo u pani Janky?
Ďakujem
Dobrý deň Maja,
Ďakujeme vám že ste nás kontaktovali.
Odpoveď sme vám zaslali na váš e-mail.
S pozdravom Implant Clinic tím
Dobrý deň volám sa Lukáš 29 rokov a mám veľký problém z vrchnim chrupom.bojim sa zubárov mam panicky strach jedine východisko vidím v osetreny v celkovej anestezii chcel by som sa spýtať koľko by stalo takéto ošetrenie ako bolo vykonané u pani janky dakujem
Dobrý deň Lukáš,
Ďakujeme vám že ste nás kontaktovali.
Odpoveď sme vám zaslali na váš e-mail.
S pozdravom Implant Clinic tím
Dobrý deň..Mám 43 rokov a obrovský a neprekonateľný strach zo zubárov…Chrup mám v hroznom stave, veľmi túžim po nových zuboch ale stále nemám odvahu sadnúť do kresla..Jediné východisko vidím v ošetrení v celkovej anestézii. Viem, že každá narkóza je záťaž pre organizmus ale inak to nezvládnem. Chcela by som sa spýtať, koľko by stálo takéto ošetrenie ako bolo vykonané u pani Janky? Ďakujem za Vašu odpoveď. S pozdravom Danka zo Žiliny.
Dobrý deň Danka,
Ďakujeme vám za váš komentár.
Odpoveď sme vám zaslali na váš e-mail.
S pozdravom
Implant Clinic
Dobrý deň.Rád by som sa informoval či je možné navštíviť vašu kliniku za účelom trhania zubov pod celkovou narkózou aj s osadením miniimplantátov a fixnou protézou a aká by bola približná cena zákroku aj s narkózou..Na vytrhnutie mám 12 predných zubov.Za odpoveď Vám vopred ďakujem.
Dobrý deň, pán Jozef
ďakujeme za Vašu správu. V Smile clinic sa nešpecializujeme na miniimplantáty. Rady Vám poskytneme informácie o implantátoch, ktoré používame na našej klinike, o výhodách, cenách za extrakciu, implantáciu a celkovú narkózu.
Neváhajte využiť možnosť rýchleho rozhovoru, ktorý si môžete naplánovať po rozkliknutí tohto linku: https://smileclinic.as.me/local-quick-call
Budeme sa tešiť na rozhovor.
S pozdravom
Andrea – Smile clinic