“Moderná zubná klinika s výborným personálom, ktorí používa tie najnovšie materiály a výsledok je ohromujúci.“
Takto sa o Implant Clinic vyjadrila naša pacientka Gloria. Bola veľmi spokojná s výsledkom a s prácou celého tímu. Objednala sa na konzultáciu k MUDr. Salkovi. Mala záujem o náhradu zubov pomocou zubných implantátov a celokeramických koruniek. Po konzultácii sa vypracoval plán ošetrenia.
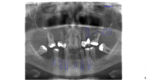
vrchná čeľusť: 3 zubné implantáty, sinus lift, 8 zirkónových koruniek, 1 endodoncia – ošetrenie koreňových kanálikov
spodná čeľusť: 6 zubných implantátov, 12 členný fixný keramický mostík
Najprv sa pacientka rozhodla pre ošetrenie spodnej čeľuste, kde bolo potrebných 6 zubných implantátov. Po implantácii bol pacientke nasadený dočasný, titánom vystužený mostík. Ten slúži ako dočasná zubná náhrada počas doby hojenia.
Náhrada zubov pomocou zubných implantátov sa stáva veľmi populárnou voľbou u pacientov, ktorí prišli o zuby z rôznych dôvodov. Či ste prišli o zuby v dôsledku úrazu, alebo zanedbania pravidelných návštev zubného lekára a nesprávnej hygieny. Zubné implantáty sú najvhodnejšou voľbou pri náhrade chýbajúceho zuba, časti chrupu, alebo celého zuboradia.
Chrup ktorý z hľadiska dlhodobej prognózy už nie je možné ponechať sa extrahuje. Zvyčajne hneď po extrakcii sa zavedú implantáty. Implantácia prebieha v lokálnej anestéze. V Implantclinic ponúkame pacientom ošetrenie aj v celkovej narkóze. Zvyčajne pacienti na druhý deň po implantácii môžu pokračovať v bežnom živote, je ale dôležité po implantácii konzumovať mäkkú alebo tekutú stravu, aby sa nezaťažovali zavedené implantáty.
Hojenie zubných implantátov trvá zvyčajne 8 – 12 týždňov. Počas hojenia pacientovi odporúčame konzumovať mäkkú stravu, aby sa nezaťažovali implantáty. Okrem toho je dôležité dodržiavať precíznu ústnu hygienu.
V prípade našej pacientky Glorie sa okrem implantátov naplánovalo aj 8 celokeramických koruniek do vrchnej čeľuste. Zubné korunky sa nasádzajú na prirodzené zuby, ktoré majú nejaké estetické nedostatky, alebo sú devitálne – odumreli z dôvodu poškodenia zubným kazom, alebo iného ochorenia paradontu.
Po zahojení zubných implantátov, ktoré trvalo tri mesiace sa pacientka vrátila na kliniku a začalo sa s vrchnou čeľusťou. Pacientke bola urobená endodoncia – ošetrenie koreňového kanálika. Zuby sa obrúsili do požadovaného tvaru a pripravili sa na nasadenie koruniek. Nasledovalo odobratie odtlačkov zubných implantátov a obrúsených zubov. Výroba zubných koruniek v zubnom laboratóriu trvala tri týždne. Posledná návšteva pacientky na klinike bola na nasadenie trvalých koruniek. Ponúkame Vám fotografie pacientky po ukončení ošetrenia a snímky pred a po ošetrení.



