Veľmi osobný prístup – dlhodobé skúsenosti skombinované s najmodernejšou technológiou. MUDr. Salka odviedol vynikajúcu prácu. Som veľmi spokojná s výsledkom. Profesionálna zubná starostlivosť. Celý tím, vrátane sestier, recepčnej sú vynikajúci v tom čo robia. Nemám problém pri odporúčaní Implantclinic. Mnohokrát ďakujem.
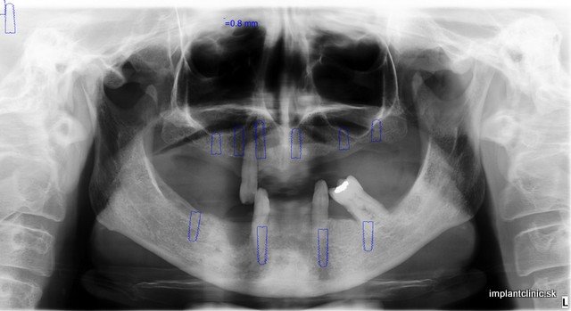
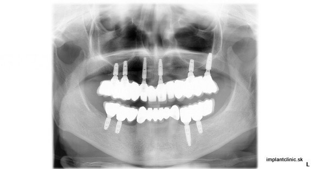
Takto sa vyjadrila o Implant Clinic Vendy. Podstúpila zákrok, ktorý vyžadoval dvojitú dostavbu kosti, 10 zubných implantátov a 24 implantátových koruniek. Ak zuby chýbajú dlhšiu dobu môže dojsť k úbytku kosti. Resorpciou kosti strácajú mäkké tkanivá oporu, čím môže Vaša tvár nadobudúť starší vzhľad.
Umiestnením zubných implantátov do čeľustnej kosti predchádzame tomuto procesu, pretože podobne ako Vaše vlastné zuby aj zubné implantáty prenášajú žuvacie sily na okolitú kosť, čo ju stimuluje a tým sa predchádza úbytku kosti. V niektorých prípadoch ako u Vendy bola potrebná dostavba kosti. Mnoho ľudí má mýlnu mienku o tomto zákroku a myslia si, že je to zložitý proces.
Dostavba kosti vôbec nie je zložitý chirurgický zákrok. Je bežne robený len za pomoci lokálnej anestézy. Po zákroku pacient môže hovoriť. Strava by mala byť upravená na mäkkú alebo na tekutú, aby sa neporušili stehy a rana sa pekne zahojila. V prípade bolesti môžete užiť lieky od bolesti. Pacient môže ísť na druhý deň do práce. Toto ošetrenie sa nazýva aj augmentácia kosti. Dostavba kosti slúži na obnovu strateného kostného tkaniva. Augmentácia sa používa pri relatívne malých defektoch kostí. Cena a priebeh sa dá určiť až po dôkladnom vyšetrení pri osobnej konzultácií.



