Zubné implantáty poznáme už desiatky rokov, ale nedávne pokroky v technológii a liečebných postupoch urobili náhradu zubov pomocou zubných implantátov oveľa pohodlnejšou, efektívnejšou a dostupnejšou. Preto zubné implantáty sú voľbou číslo jedna pri náhrade chýbajúcich zubov. Náklady na zubné implantáty sa stali dostupnejšie, čo umožňuje tisíckam ľudí zmeniť svoj život. Navyše, Váš tím v Implantologickej klinike má špecialistov, ktorí vzájomne spolupracujú a spoločne sa podieľajú na tom, aby starostlivosť a výsledky ošetrenia pacientov boli na špičkovej úrovni.
Implantologická technológia a jej pokroky.
V posledných desiatich rokoch výrobcovia zubných implantátov urobili veľký pokrok v dizajne a účinnosti zubných implantátov. Nové a moderné povrchové technológie napomáhajú zubným implantátom k lepšej integrácii do kosti pre väčšiu stabilitu a dlhodobú odolnosť. Nový tvar a závit implantátu slúži na lepšie vloženie a stabilitu. Nový dizajn implantátov umožňuje väčšiu flexibilitu pri umiestnení implantátu s cieľom maximalizovať využitie existujúcej kosti.
Dentálny 3D skener
Pokiaľ ide o absolútne to najlepšie v implantologickej technológii, Implantclinic je jednoznačne voľbou číslo jedna. Máme mnoho pokročilých nástrojov a technológii, pomocou ktorých sme krok vpred od ostatných kliník na Slovensku. Jeden z týchto prístrojov je náš 3-D dentálny skener.
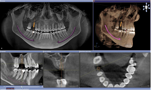
Najmä pre zubné implantáty je potrebný CT scan – 3D snímok, ktorý vie určiť presnú diagnostiku, ktorá je pri zavádzaní zubných implantátov veľmi dôležitá pre spodnú ako aj pre hornú čeľusť.
Pomocou 3D scanu sa dosiahne kompletná a presná trojrozmerná replika tvárovej časti.
Naša technológia CBCT Scan/3-Dimensional Imaging je nesmierne dôležitá pri plánovaní ošetrenia a diagnostikovaní
Existuje mnoho postupov vykonávaných stomatologickými odborníkmi, ktoré vyžadujú osobitné kontroly. Je nutné získať úplný prehľad o stave kostného tkaniva pacienta pred zubným ošetrením, kde je nutné použiť zubné implantáty. To môže byť uľahčené pomocou počítačovej tomografie (CT). Tento postup je veľmi podobný konvenčným röntgenom, ale stav chrupu ukazuje podrobnejšie v 3-dimenzionálnom priereze skenovanej oblasti a tak poskytuje potrebné informácie pre bezpečnú a účinnú liečbu zubov.
CT vyšetrenie sa líši od konvenčného snímku v mnohých spôsoboch. Najdôležitejšie je, ako sa získava obraz. Pri konvenčnom röntgéne je jediný záblesk žiarenia smerovaný do kosti / alebo tkaniva v určitej oblasti. Tieto lúče potom prejdú na fotografický film. Tento záblesk žiarenia vykreslí biele kosti a štruktúru tkanív a výsledok sa objaví aj v rôznych odtieňoch šedej. Skenovanie pomocou 3D skeneru umožňuje Vášmu zubárovi zhodnotiť zdravotný stav čeľustnej kosti oveľa podrobnejšie a tým umožní aj lepší celkový výsledok. Konkrétne CT skener zahŕňa prepustenie niekoľkých malých žiarení, ktoré sú namierené z rôznych uhlov na skúmanej oblasti a tým sa dosiahne 3D efekt.
Quicksleeper – bezbolestné podanie anestetika.
Implantologická klinika Piešťany dáva novú nádej pacientom, ktorí sa desia pri pomyslení na ihly. Ponúkame bezbolestný systém vstrekovania anestetika.
Inovatívny systém Quicksleeper pôsobí okamžite jednou bezbolestnou injekciou. Táto technológia je hlavne pre tých, ktorý sa vyhýbajú liečbe hlavne pre to, že sa boja ihiel. Hovorí sa, že je to novinka o ktorej zubný lekári snívali desiatky rokov. Sme radi, že aj u nás v Implantclinic Vám môžme ponúknuť vždy to najlepšie čo je na trhu.
Aj Quicksleeper sa aplikuje pomocou ihly a v kombinácii so špeciálnym zariadením pacient necíti nič len mierne vibrácie. Pri jednom aplikovaní môže zubný lekár znecitlivieť až osem zubov, preto nie je potrebné opakovanie aplikácie pri viacnásobnom ošetrení. Anestetikum je starostlivo zamerané na konkrétny nerv, ktorý má byť ošetrovaný. To znamená, že pacient nebude znecitlivený na jazyku, perách alebo na tvári. Hlavným rozdielom je, že systém aplikuje anestetikum do kosti kde existuje málo nervových zakončení.
Stomatologická ambulancia Implantclinic používa zubné implantáty značky Ankylos (Nemecko), Neodent (Brazília), Všetky zubné implantáty sú certifikované EU.
“Používame inovatívne vylepšenia, ktoré nás odlišujú od ostatných zubných kliník na Slovensku.”





