Celková rekonštrukcia chrupu pomocou zubných implantátov na ktoré sa fixne nasadí keramický zubný mostík je vyhľadávané ošetrenie najmä pacientmi pri početnej strate zubov, alebo s vyberateľnými zubnými protézami.

V Implant Clinic sa špecializujeme na celkové rekonštrukcie chrupu pomocou fixného zubného oblúka s keramickými zubnými korunkami upevnenými na niekoľkých zubných implantátoch.

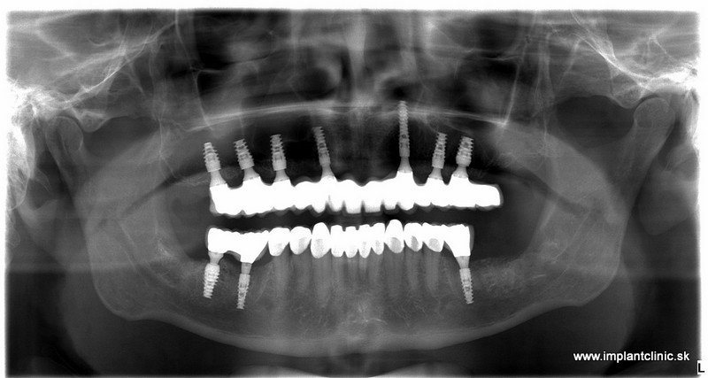
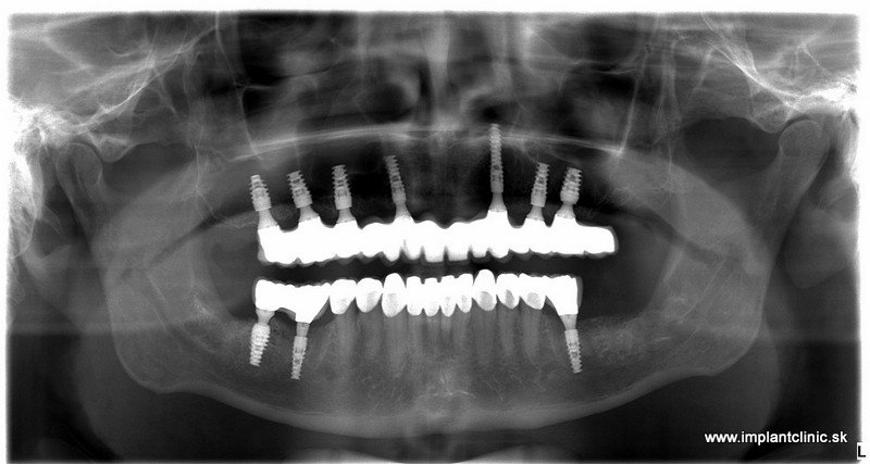
Pacient po nasadení trvalých koruniek

Ponúkame vám prípad pacienta, ktorý potreboval celkovú rekonštrukciu chrupu pomocou zubných implantátov a zubných koruniek.

Na základe RTG a CT vyšetrenia náš hlavný implantológ MUDr. Marek Salka, odporučil pacientovi extrakcie nevyhovujúceho chrupu a následne celkovú rekonštrukciu hornej a dolnej čeľuste pomocou zubných implantátov s fixným keramickým oblúkom do vrchnej čeľuste a náhrada stoličiek v dolnom chrupe pomocou zubných implantátov a estetická úprava ostatných zubov pomocou zubných koruniek.

Pacientom v Implant Clinic ponúkame ošetrenie aj v celkovej narkóze. Odporúčame to hlavne v prípadoch, keď sa jedná o celkovú rekonštrukciu chrupu čo pre niektorých pacientov môže byť časovo a psychicky náročné.

Z možností, či pacient podstúpi ošetrenie v narkóze, alebo s podaním lokálnej anestézy, si pacient vybral absolvovať toto ošetrenie v lokálnej anestéze s podaním sedatíva/premedikácie, čo je bežná kombinácia liečiv pri takomto komplexnom ošetrení chrupu, alebo v prípade, že má pacient z ošetrenia strach.

Plán ošetrenia pacienta Jakuba, a teda celková rekonštrukcia jeho chrupu, zahŕňal implantáciu 7 zubných implantátov do hornej čeľuste a 3 zubné implantáty do sánky. V spodnej čeľusti mal pacient na pláne ošetrenia naplánovaných ešte 10 zubných koruniek.

Pred implantáciou sa pacientovi extrahoval zostatkový chrup.

Keďže našou filozofiou je nasadiť fixné provizóriá na implantáty okamžite po implantácii, pacient sa nemusel obávať, že po implantácii odíde z kliniky bez provizórnych koruniek.

Ešte v ten istý deň po implantácii sme pristúpili k výrobe fixných, provizórnych zubných náhrad, ktoré slúžia pacientovi po dobu hojenia implantátov, približne 2 – 3 mesiace.

WeldOne je unikátny koncept používaný pri vyhotovení dočasných náhrad pri ošetrení zubnými implantátmi. Tento koncept umožňuje rýchle a stabilné ošetrenie. Pomocou špeciálnych komponentov je titánový drôt vnútro-ústnym zváraním na pevno prikovaný na implantátové nadstavby. Na titánovú konštrukciu sme pripevnili vopred pripravenú živicovú protézu, ktorú sme upravili podľa potrieb pacienta, zaleštili a priskrutkovali o implantátové nadstavby. Čo poskytuje stabilné a optimálne vystuženie pre dočasné zubné náhrady.

Po upravení a pripevnení provizórnej zubnej náhrady a po artikulácii pacient udával komfortný pocit pri žuvaní a provizórne zubné náhrady boli pre pacienta taktiež veľmi uspokojivé.

Nasledovala ešte kontrola záhryzu niekoľko dní po zákroku a o dva mesiace po implantácii nás pacient navštívil pre kontrolu a odobratie odtlačkov pre výrobu finálnych implantátových koruniek, ktoré sme nasadili pri pacientovej následnej návšteve u nás na klinike.

admin

View Comments

  • Dobry deň,
    Chcel by som sa opýtať ? Väčšina zubárov pristupovalo ku mne nie moc dobrým spôsobom. Aj napriek tomu si uvedomujem závažnosť mojich dentalnych problémov. Mám záujem o kompletnutnu rekonštrukciu horného chrupu. Len mám zas strach z výčitiek od zubára za moju nedôslednosť. Je možné tomuto sa vyhnúť ❓ alebo nejakej konzultácie

    • Dobrý chcem sa spitať už 4dny ma bolia dva predné hore zuby zľakol som sa lebo jeden zub z hora silnému zubu vadí a ten druhý má zase na horné časti čiaru . Mám len 16 rokov

      • Dobrý deň, pán Michal

        Ďakujeme, že ste kontaktovali Smile clinic.
        takto na diaľku je obtiažne povedať, čo spôsobuje bolesť a aký tam je problém. Chceli by sme Vám navrhnúť konzultáciu. Urobíme RTG a CT snímky a následne Vám povieme riešenie. Mali by ste záujem o konzultáciu?

        S pozdravom
        Tím Smile clinic

    • Dobrý deň, pán Milan,
      ďakujeme, že ste nás kontaktovali a mrzí nás, že máte s predchádzajúcimi zubármi zlé skúsenosti. Radi Vám ukážeme, že na našej klinike pristupujeme ku každému pacientovi priateľsky a s citom.
      Mali by ste záujem o termín na nezáväznú konzultáciu s jedným z našich odborníkov?

      S pozdravom
      Petra - Smile Clinic

  • Dobrý deň, mám rovnaký problém ako Lenka vyššie...potrebovala by som všetky vrchné zuby von a náhradu za nich , tiež asi v lokálnej( úplnej) anestéze... poprosím o cenník... ďakujem

    • Dobrý deň p. Žofia,
      ďakujeme za Váš komentár. Tešíme sa, že Vám môžeme pomôcť.
      Rada by som si s Vami osobne zavolala, aby som Vám ošetrenie podrobne vysvetlila. Postup liečby aj cenovú ponuku. Na Váš email som Vám poslala link ako postupovať.

      S pozdravom,

      Natália

  • Dobry vecer,
    Potrebovala by som vytrhat vsetky vrchne zuby a nahradit ich aka by bola orientacna cena v celkovej narkoze. Dakujem

    • Dobrý deň, pani Lenka

      ďakujeme, že ste kontaktovali našu zubnú kliniku ohľadom extrakcie všetkých zubov a nahradenia zubnými implantátmi. Prosím, skontrolujte Vašu e-mailovú schránku. Kontaktovali sme Vás e-mailom, aby sme Vám mohli poskytnúť viac informácií o Vašom ošetrení.
      S pozdravom,
      Smile Clinic

  • Mám už len asi 3zuby a 6 koreňe ,chcel by som všetko extrahovať a dať novú pevnú náhradu.Ale mám panický strach zo zubára,tak by som to chcel v celkovej narkoze.Prosím o predbežnú cenu celého yákroku aj náhrady.

    • Dobrý deň, pán Jozef

      Ďakujeme za Vašu správu. Kontaktovali sme Vás e-mailom, aby sme Vám mohli poskytnúť viac informácií o Vašom ošetrení.
      S pozdravom,
      Smile Clinic

    • Dobrý deň, pani Augustínová,

      Ďakujeme, že ste kontaktovali našu zubnú kliniku ohľadom cenníka za zubné ošetrenia. Odpovedali sme Vám e-mailom.

      S pozdravom
      Implant Clinic

    • Dobrý deň,
      ďakujeme, že ste kontaktovali našu zubnú kliniku ohľadom zubných implantátov. Odpovedali sme Vám e-mailom.

      S pozdravom
      Implant Clinic

  • Dobrý deň Mam 52 rokov a velky strach ale zaroven tuzim mat zrekonštruované zuby ktore ma dlho trapia niektore mi uz aj chybaju iste mate vela pacientov tak sa chcem spytat ci budem dlho cakat na vysetrenie.Tak tiez prosim o zaslanie cennika tykajuc sa celkovej rekonštrukcie.
    Dakujem a prajem pekny den.m

    • Dobrý deň Matty,

      Ďakujeme vám za váš komentár.

      Cenu a postup ošetrenia sme vám zaslali na váš e-mail

      S pozdravom Implantclinic tím

  • Dobry den, mala by som zaujem o kompletnu rekonstrukciu chrupu, mam vsak panicky strach zo zubarov hlavne z dovodu vypadavania sanky, je nevyhnutne pred zakrokom navstivit zubara a chrup vycistit, alebo poskytujete kompletnu starostlivost? Mohla by som vas taktiez poziadat o cennik? Dakujem

    • Dobrý deň,

      Ďakujeme vám za váš komentár.
      Odporúčame konzultáciu na klinike. U nás je možné sa objednať aj na dentálnu hygienu ak by ste potrebovali.
      V prípade záujmu nás prosím kontaktujte.
      S pozdravom Implantclinic tím

  • Dobry den, mam 23 rokov, panicky strach zo zubarov, vyskakujucu sanku a zuby v dezolatnom stave. Taktiez mam ale odhodlanie dat to do poriadku. Chcem sa spytat, ponukate rekonstrukciu aj komplikovanejsim zakaznikom od sameho zaciatku alebo vyzadujete vysetrenie a vycistenie chrupu vopred? Mohla by som vas poprosit o cennik vasich sluzieb pri kompletnej rekonstrukcii chrupu? Dakujem

    • Dobrý deň,

      Ďakujeme vám že ste nás kontaktovali.

      Cenník sme vám poslali na váš e-mail.

      V prípade záujmu o konzultáciu nás kontaktujte.

      S pozdravom Implant clinic

  • dobrý deň, mám asi 5 zostatkových zubov ktoré by som potreboval nahradiť 2pri sebe ostatne samostatne + pár kde by stačila výplň. Čo ma zaujíma je koľko by ma takéto ošetrenie chrupu vyšlo, a druhá otázka by sledovala na dobu hojenia, mohli by ste mi trochu viac opísať ako to je po vložení fixných provizór ? A čo to vlastne je ? Celkovo by ma zaujímalo ako to vyzerá a ako sa o to treba starať po dobu hojenia ?

    • Dobrý deň p. Miroslav,

      Ďakujeme vám za váš komentár.
      Odpoveď sme vám zaslali na váš e-mail.
      S pozdravom Implantclinic tím

    • Dobrý deň p. Miroslav,

      Ďakujeme vám že ste nás kontaktovali.
      Cenník sme vám zaslali na váš e-mail.
      S pozdravom Implantclinic tím

Recent Posts

Náhrada Jedného Chýbajúceho Zuba: Kompletný Sprievodca (2026)

Jeden Chýbajúci Zub. Tisíc Nepohodlných Chvíľ. Viete ten moment. Usmejete sa na fotke a potom…

3 months ago

Zubné implantáty – dokonalá náhrada chrupu

Pacient po dokončení ošetrenia Komplexné ošetrenie bolo potrebné aj u nášho pacienta Ladislava. Nemal žiadne…

9 months ago

Prečo sú zubné implantáty najlepším riešením po strate zuba?

Strata zubov má výrazný vplyv nielen na ďasná a čeľusť, ale aj na naše celkové…

11 months ago

Aké sú možné komplikácie zubných implantátov?

Komplikácie spojené so zubnou implantáciou sú zriedkavé, alebo len minimálne. Pacient bude oboznámený s možnými…

11 months ago

Aké sú možnosti náhrady všetkých chýbajúcich zubov?

Aké sú možnosti náhrady všetkých chýbajúcich zubov? Pri strate všetkých zubov v hornej a dolnej…

11 months ago

Aké sú výhody ktoré prináša náhrada chýbajúceho zubu implantátom?

Aké sú výhody zubných implantátov? Existuje mnoho faktorov, vďaka ktorým sú zubné implantáty výhodnejšie ako…

11 months ago