Príbehy našich pacientov

Zmena výzoru – lepšia kvalita života

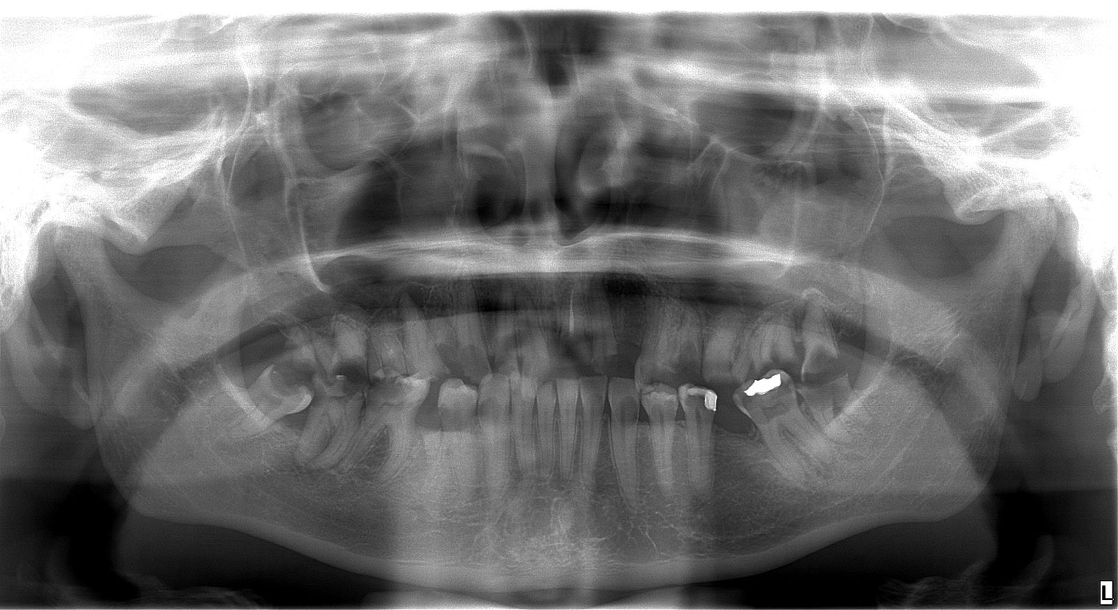
Snímka pacientky pred ošetrením

Predstavte si, že sa ráno zobudíte, pozriete do zrkadla a usmejete sa bez jediného zaváhania. Už nemusíte schovávať úsmev ani sa obávať, čo si o vás pomyslia ostatní. Práve taký pocit zažívajú naši pacienti po rekonštrukcii chrupu v Smile Clinic Slovakia. Nové zuby totiž nielen zlepšujú vzhľad zároveň menia celý život k lepšiemu.

Ako zuby ovplyvňujú kvalitu života?

Často si neuvedomujeme, že chrup tvorí základ nášho sebavedomia, zdravia a radosti zo života. Ak človeku chýbajú zuby alebo sú poškodené, začne sa vyhýbať spoločnosti. Smiech sa mení na tiché prikrývanie úst a jedlo prestáva byť pôžitkom, ale stáva sa problémom. Strata zubov prináša obmedzenia – v jedle, v reči, v úsmeve aj v každodenných radostiach.

Zdravé zuby nemožno považovať za samozrejmosť. Častokrát si ľudia neuvedomujú aké je dôležité mať pekný a zdravý chrup až keď o zuby prídu. Najčastejšími dôvodmi prečo prichádzame o zuby sú ochorenia ďasien, zubné kazy, alebo v dôsledku úrazov a nehôd.

Nové zuby znamenajú nový život

Žiarivé a zdravé zuby robia ľudí atraktívnejšími, zvyšujú sebavedomie a umožňujú smiať sa naplno. Okrem toho vám umožnia jesť to, na čo máte chuť a bez obáv. Navyše zdravý chrup podporuje lepšie trávenie, znižuje riziko zdravotných problémov a celkovo zlepšuje váš pocit zo seba samého.

Vďaka týmto zmenám môžete zažiť skutočnú transformáciu, ktorá ovplyvní nielen váš výzor, ale aj kvalitu života. Preto sa nebojte urobiť prvý krok a zverte svoj úsmev do rúk odborníkov, ktorí vám pomôžu získať späť radosť zo života.

Pred
Po ošetrení

Príbeh Adriany

Adriana bola mladá žena, ktorá sa roky trápila s nekompletným a pokazeným chrupom. Hanbila sa smiať, vyhýbala sa foteniu a spoločnosti a spoločenským aktivitám. Rozhodla sa to zmeniť a prišla k nám. Po dôkladnej konzultácii, röntgene a 3D snímke sme jej navrhli plán na mieru: extrakcie nevyhovujúcich zubov, 6 implantátov hore, 6 dole a nový, 12-členný mostík do oboch čeľustí.

Ako prebieha rekonštrukcia chrupu?

  1. Konzultácia a plánovanie: Najprv vám pridelíme osobného koordinátora, ktorý vás prevedie celým procesom a zodpovie všetky otázky. Vždy si na vás nájdeme čas a nič nerobíme narýchlo.
  2. Zavedenie implantátov: Po extrakciách vám zavedú implantáty. Už počas hojenia získate dočasný mostík vystužený titánom – takže ani jediný deň nezostanete bez zubov.
  3. Výroba finálneho mostíka: Po zahojení implantátov odoberieme presné odtlačky a vyrobíme keramické mostíky. Farbu a tvar zubov vyberáme spoločne, aby ste sa cítili prirodzene.
  4. Nový úsmev, nový život: Po nasadení finálnych mostíkov sa opäť usmievate, jete, smejete sa a žijete naplno.
..a po ošetrení

Čo všetko sa zmení s novým chrupom?

  • Sebavedomie: Už viac nemusíte schovávať úsmev.
  • Spoločenský život: Opäť sa tešíte na stretnutia, fotky a rozhovory.
  • Jedlo bez obmedzení: Môžete jesť, na čo máte chuť – bez strachu, že niečo nezvládnete požuť.
  • Zdravie: Zdravé zuby zlepšujú trávenie a znižujú riziko ďalších zdravotných komplikácií.
  • Mladší vzhľad: Nový chrup spevní kontúry tváre a omladí vás.

Prečo Smile Clinic Slovakia?

  • Večné zuby: Na implantáty poskytujeme doživotnú mechanickú záruku.
  • Špecialisti na kompletné rekonštrukcie chrupu: Vždy volíme najlepšie riešenia bez kompromisov.
  • Dve lokality: Bratislava priamo pri letisku a Piešťany v kúpeľnom prostredí.
  • Pacienti z celého sveta: Naše služby využívajú aj pacienti zo zahraničia.
  • Osobný koordinátor: Prevedieme vás každým krokom a všetko vám vysvetlíme.
  • Jasné ceny: Žiadne skryté poplatky. Kliknite na konkrétne ošetrenie a zistíte cenu aj celý postup.
  • Špičkové materiály a vlastné laboratórium: Všetko vybavíme pod jednou strechou, čím garantujeme kvalitu a rýchlosť.

Nový chrup, nová kvalita života

Zmena výzoru je len začiatok. S novými zubami získate späť chuť smiať sa, jesť, stretávať sa s ľuďmi a žiť naplno. Tak ako Adriana, aj vy môžete začať novú kapitolu a užívať si každý deň s istotou a úsmevom.

admin

View Comments

  • Dobrý deň, aká je prosím vás cena na fixný mostík (protézu) hornej čeľuste. Ďakujem za odpoved.

    • Dobrý deň, pán Tomáš

      Ďakujeme, že ste sa obrátili na našu kliniku. Kontaktovali sme Vás e-mailom. Potrebovali by sme od Vás isté informácie potrebné na to, aby sme Vám vypracovali presný plán ošetrenia s cenou ošetrenia.
      Prosím, skontrolujte si Vašu e-mailovú schránku.

      S pozdravom
      Andrea - Smile Clinic

      • Dobry den chcel by som vediet pribliznu cenu o nahradu vsetkych zubov cize all on four dakujem

        • Dobrý deň p. Erik,
          ďakujeme za Váš komentár.
          Cena za kompletnú rekonštrukcia záleží od počtu zavedeným implantátov a počtu nových koruniek.
          Mohli by sme si naplánovať spoločný telefonický rozhovor, aby som Vám vedela ošetrenie priblížiť ?
          Na váš email som Vám poslala viac info, ako si naplánovať spoločný telefonát.

          N

  • Dobrý deň, chcela by som sa opýtať : potrebovala by som komplet nový chrup,zuby aby vyzerali ako prirodzene a boli biele kolko by takyto zákrok stál a ako dlho by to trvalo,robite to v narkoze ?platí sa vopred, na splátky .....
    A ešte jedna otázka môžu sa 13 ročnému chlapcovi vybielit zuby?
    Ďakujem pekne za odpoveď

    • Dobrý deň, pani Katarína,

      ďakujeme za zanechanie komentára. Kontaktovali sme Vás e-mailom.

      S pozdravom
      Petra – Implant Clinic

      • Prosim o zaslatie priblizneho cennika All on 4 alebo 6 momentalne som v zahranici planujem ak vsetko dobre pojde navstevu na august horna celust ostali mi 4 zubky dakujem pekne a prajem pekny den
        P.s prosim vas nachadzate sa v Bratislave ? Moje bydlisko je okolie Banska Bystrica

        • Dobrý deň, pani Janka,
          ďakujeme, že ste sa na nás obrátili. Cena ošetrenia All on 4 resp. All on 6 závisí od viacerých faktorov (počet extrakcií, stabilita kosti, potreba úpravy kosti/ďasna a pod.) a stanovuje ju lekár počas osobnej nezáväznej konzultácie.
          Vedeli by ste prísť k nám na konzultáciu na pobočku do Bratislavy alebo do Piešťan, aby sme spravili RTG a CT snímky a vedeli Vám tak dať presnú cenu ošetrenia vo Vašom prípade?
          Viac informácií som Vám zaslala aj na uvedený e-mail.

          S pozdravom,
          Petra – Smile Clinic

  • Dobrý deň,
    prosím Vás poslali by ste mi na e-mail postup, čas a cenu tohto konkrétneho zákroku?

    Ďakujem

    • Dobrý deň, pani Lenka,

      ďakujeme, že ste nás kontaktovali.
      Viac informácií o tomto zákroku sme Vám zaslali e-mailom.
      V prípade záujmu o ošetrenie Vás radi objednáme na vstupnú konzultáciu s lekárom.

      S prianím pekného dňa
      Petra - Implant Clinic

      • Dobrý deň. Mohla by som vás poprosiť o cenu tohto zákroku? Ďakujem pekne

        • Dobrý deň, pani Lucia,

          sme radi, že ste sa na nás obrátili. Viac informácií o ošetrení chrupu na našej klinike sme Vám zaslali e-mailom.
          V prípade záujmu Vás rada objednám na osobnú konzultáciu s lekárom, ktorý pre Vás vystaví plán ošetrenia spolu s cenou ošetrenia.

          S pozdravom
          Petra – Implant Clinic

  • Dobrý deň chcela by som sa spýta na cenu takého to zákroku a koľko dní v prípade extrakcie zubov by som bola bez chrupu.

    • Dobrý deň

      Ďakujeme vám za komentár.

      Po extrakciách zubov sa zubné implantáty zavádzajú okamžite. Na zubné implantáty sa nasadia dočasné korunky preto počas doby hojenia nebudete bez zubov

      S pozdravom Implant Clinic

    • Dobrý deň, Peter,

      ďakujeme, že ste nás kontaktovali. Cenu výmeny celého zubného oblúka v narkóze som Vám pred malou chvíľou zaslala na Váš e-mail.
      V prípade otázok ohľadom ošetrenia alebo našej kliniky som Vám k dispozícii.

      V mene celého tímu prajem pekný deň
      Petra – Implant Clinic

    • Dobrý deň, pán Ján,

      sme radi, že ste sa na nás obrátili. Cenu All on 4 ošetrenia, teda výmeny celého zubného oblúka sme Vám zaslali na Váš e-mail.
      V prípade otázok alebo záujmu o prvotnú konzultácie s lekárom nás neváhajte kontaktovať.

      S pozdravom
      Petra – Implant Clinic

  • Dobrý deň chcem poprosiť ako dlho by trvalo toto liečenie a koľko stojí nahradenie hornej čeľuste takýmto pevným mostíkom teda celej hornej čeľuste.Dakujem.

    • Dobrý deň Vlado

      Ďakujeme vám za váš komentár.

      Cenu a postup ošetrenia sme vám zaslali na váš e-mail

      S pozdravom Implantclinic tím

Recent Posts

Náhrada Jedného Chýbajúceho Zuba: Kompletný Sprievodca (2026)

Jeden Chýbajúci Zub. Tisíc Nepohodlných Chvíľ. Viete ten moment. Usmejete sa na fotke a potom…

3 months ago

Zubné implantáty – dokonalá náhrada chrupu

Pacient po dokončení ošetrenia Komplexné ošetrenie bolo potrebné aj u nášho pacienta Ladislava. Nemal žiadne…

9 months ago

Prečo sú zubné implantáty najlepším riešením po strate zuba?

Strata zubov má výrazný vplyv nielen na ďasná a čeľusť, ale aj na naše celkové…

11 months ago

Aké sú možné komplikácie zubných implantátov?

Komplikácie spojené so zubnou implantáciou sú zriedkavé, alebo len minimálne. Pacient bude oboznámený s možnými…

11 months ago

Aké sú možnosti náhrady všetkých chýbajúcich zubov?

Aké sú možnosti náhrady všetkých chýbajúcich zubov? Pri strate všetkých zubov v hornej a dolnej…

11 months ago

Aké sú výhody ktoré prináša náhrada chýbajúceho zubu implantátom?

Aké sú výhody zubných implantátov? Existuje mnoho faktorov, vďaka ktorým sú zubné implantáty výhodnejšie ako…

11 months ago