Príbehy našich pacientov

Zubné implantáty – dokonalá náhrada chrupu

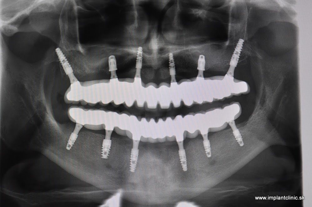
Pacient po dokončení ošetrenia

Komplexné ošetrenie bolo potrebné aj u nášho pacienta Ladislava. Nemal žiadne zuby vo vrchnej čeľusti a v sánke mu zostalo už len málo nefunkčných zubov.

Plán ošetrenia pána Ladislava: 6 zubných implantátov v čeľusti a aj v sánke, dostavba kosti, 14 – členný keramický mostík v oboch čeľustiach.

Po zavedení zubných implantátov sa pacientovi nasadili dočasné titánom vystužené zubné mostíky. Takže pacient odchádza domov po ošetrení so zubami. Dôležitou súčasťou hojenia zubných implantátov je konzumovanie mäkkej stravy po dobu 2-3 mesiacov.

Po zahojení zubných implantátov sa pacient vracia na kliniku na zhotovenie odtlačkov zubných implantátov.

Posledným krokom je nasadenie hotových mostíkov.

Po zahojení zubných implantátov je funkčnosť chrupu plne obnovená. Zubné implantáty poskytujú plnohodnotnú a spoľahlivú náhradu strateného chrupu.

Konečný snímok po nasadení hotových mostíkov
Snímka pred ošetrením
Snímka po zavedení zubných implantátov a nasadení dočasného mostíka
admin

View Comments

  • Dobry den chcel by som sa spitat mam 34 rokov a od roku 2013 mam mostik ktory drzi na 4 upevnenych zuboch, ostatne 5 zuby su moje zbrusene. Mam aj paradontozu a mostik my mozno dlho nevydrzi- uz teraz su s nim problemi. Preto som sa chcel spitat ci by sa u vas nedaly namiesto toho mostika spravit implantaty pocul som ze tie su lepsie ako mostik? Je mozne dat dole mostik a dat tam namiest toho implantaty? Zaroven by ma zaujimala cena implantatov. Dakujem

    • Dobrý deň, pán Marián,

      sme radi, že ste sa na nás obrátili. Áno, mostík je možné nahradiť implantátmi.
      V prípade záujmu Vás rada objednám na osobnú konzultáciu s lekárom, ktorý pre Vás vystaví plán ošetrenia spolu s cenou ošetrenia.

      S pozdravom
      Petra – Implant Clinic

  • Dobrý deň, chcela by som sa informovať o celkovej cene implantátov na spodnú čelusť, toho času mám mostík, ktorý je už uvoľnený.

    • Dobrý deň Anna,

      Ďakujeme vám za váš komentár.

      Cenu a postup ošetrenia sme vám zaslali na váš e-mail

      S pozdravom Implantclinic tím

  • Dobry den, zaujimala by ma cena zub.impl. v pripade, ze mam zaujem o nahradu 12 zubov na hornej celusti a 12 zubov v dolnej celusti. Zuby, ktore mam su v dezolatnom stave. Dakujem za odpovef

    • Dobrý deň Marcela,

      Ďakujeme vám za váš komentár.

      Cenu a postup ošetrenia sme vám zaslali na váš e-mail

      S pozdravom Implantclinic tím

  • Dobry den,mam celokeramicku korunku v koreni zuba, a ten mi praskol. Potrebovala by som implantat na tento predny horny zub. Prosim Vas aka by bola priblizna celkova cena za tento jeden zub. Dakujem za odpoved,Machacova.

    • Dobrý deň p. Zuzana,

      Ďakujeme vám za váš komentár.

      Cenu za ošetrenie sme vám zaslali na váš e-mail

      S pozdravom Implantclinic tím

  • Dobrý deň prajem
    Chcel by som sa opýtať koľko by stálo vo vašej klinike odstránenie všetkých zubov ci polamaných alebo celých. Samozrejme potom celkovo nový chrup. Ďakujem za odpoveď.

    • Dobrý deň Ján,

      Ďakujeme vám za váš komentár.

      Cenu za ošetrenie sme vám zaslali na váš e-mail

      Ak by ste mali záujem kontaktujte nás.

      S pozdravom Implantclinic tím

  • Dobrý deň, chcela by som sa informovať o celkovej cene implantátov na spodnú čelusť, toho času používam snímateľnú zubnú protézu

    • Dobrý deň Justína,

      Ďakujeme vám za komentár.

      Cenu za ošetrenie sme vám zaslali na váš e-mail

      Ak by ste mali záujem kontaktujte nás.

      S pozdravom Smile Clinic tím

Recent Posts

Náhrada Jedného Chýbajúceho Zuba: Kompletný Sprievodca (2026)

Jeden Chýbajúci Zub. Tisíc Nepohodlných Chvíľ. Viete ten moment. Usmejete sa na fotke a potom…

3 months ago

Prečo sú zubné implantáty najlepším riešením po strate zuba?

Strata zubov má výrazný vplyv nielen na ďasná a čeľusť, ale aj na naše celkové…

11 months ago

Aké sú možné komplikácie zubných implantátov?

Komplikácie spojené so zubnou implantáciou sú zriedkavé, alebo len minimálne. Pacient bude oboznámený s možnými…

11 months ago

Aké sú možnosti náhrady všetkých chýbajúcich zubov?

Aké sú možnosti náhrady všetkých chýbajúcich zubov? Pri strate všetkých zubov v hornej a dolnej…

11 months ago

Aké sú výhody ktoré prináša náhrada chýbajúceho zubu implantátom?

Aké sú výhody zubných implantátov? Existuje mnoho faktorov, vďaka ktorým sú zubné implantáty výhodnejšie ako…

11 months ago

Moja nová zubná náhrada je dokonalá.

Moja nová zubná náhrada je dokonalá! Vrelo odporúčam Implant Clinic všetkým. Toto sú slová nášho…

11 months ago