Príbehy našich pacientov

Rekonštrukcia chrupu v celkovej narkóze

Rekonštrukcia chrupu v celkovej narkóze je riešením pre pacientov ktorí majú neprekonateľný strach z ošetrenia. Ďalšími indikáciami na ošetrenie v ambulantnej celkovej narkóze je aj časovo náročný stomatologický zákrok, vysoký dávivý reflex, mentálne postihnutie alebo na žiadosť pacienta.

Pacientka s nasadeným trvalým mostíkom

Zanedbávanie pravidelných prehliadok a zlá orálna hygiena je najčastejším dôvodom ochorení parodontu. Ak tieto ochorenia neliečime a ignorujeme, dôsledky môžu byť vážne. Najčastejším signálom zápalu je krvácanie pri podráždení a začervenanie ďasna. Takéto prejavy signalizujú, že niečo nie je v poriadku. Treba navštíviť lekára ktorý odhalí príčinu krvácania. Ďalším dôvodom prečo naši pacienti prichádzajú o zuby je strach z ošetrenia.

V Implant Clinic ponúkame riešenie pre pacientov ktorí majú strach z ošetrenia.

Prvým krokom k ošetreniu v celkovej narkóze je konzultácia v Implantclinic. Zubný lekár na základe prehliadky a OPG snímku navrhne plán liečby. Pacient počas konzultácie dostane priestor na otázky. Kladieme dôraz na to, aby pacient porozumel svojmu plánu ošetrenia.

Čo nájdete v pláne ošetrenia?

V pláne ošetrenia nájdete Vaše konkrétne naplánované zákroky, ceny, počet návštev potrebných na dokončenie ošetrenia a informácie o klinike.

Rekonštrukciu chrupu v celkovej narkóze podstúpila aj naša pacientka Jana. Objednala sa na bezplatnú konzultáciu v Implantclinic. MUDr. Salka navrhol pacientke následovný plán ošetrenia.

Čo obnáša rekonštrukcia chrupu v celkovej narkóze?

Vrchná čeľusť : 5 extrakcií, 6 zubných implantátov, 12 – členný keramický mostík

Spodná čeľusť: 11 extrakcií 6 zubných implantátov 12 – členný keramický mostík

Pacientka Jana musela pred ošetrením v celkovej narkóze podstúpiť predoperačné vyšetrenia u interného lekára. Ak výsledky všetkých predoperačných testov spĺňajú kritéria potrebné na ošetrenie v ambulantnej celkovej narkóze pacienta objednáme na zákrok. Zvyčajne je to v ranných hodinách, aby pacient mal po prebratí čas na stabilizáciu v ambulancii. Po súhlase anestéziológa pacienta prepustíme približne do dvoch hodín do domácej liečby v sprievode dospelej osoby.

V prípade našej pacientky Jany sa po extrakciách začalo implantovať do oboch čeľustí. MUDr. Salka zaviedol spolu 12 zubných implantátov. Celé ošetrenie v tomto prípade trvalo 5 hodín. Je to maximálny počet hodín na ošetrenie v ambulantnej celkovej narkóze.

V Implantclinic pacienti neodchádzajú po implantácii domov bez provizórneho dočasného chrupu. Pacientom nasádzame na implantáty živicový mostík vystužený titánovou konštrukciou pre maximálnu pevnosť a stabilitu. To znamená, estetika chrupu nie je počas doby hojenia narušená. Pacient sa asi po 10 dňoch vracia na kliniku na kontrolu a odstránenie stehov. Bezprostredne o implantácii pacienti musia konzumovať tekutú stravu, aby sa nezaťažovali zubné implantáty a aby hojenie prebehlo bez komplikácii. Po niekoľkých dňoch môžu tekutú stravu nahradiť mäkkou stravou a to po celú dobu hojenia zubných implantátov.

Potom nasleduje fáza hojenia, ktorá zvyčajne trvá 2-4 mesiace. Odobratie odtlačkov je predposledným krokom k vášmu novému úsmevu v Implantclinic. Výroba keramických mostíkov trvá našim zubným technikom približne 2 – 3 týždne. Keramické mostíky sa potom nasadia fixne na zahojené implantáty. Farbu zubných koruniek si pacient vyberá sám.

Finálny snímok po nasadení keramických mostíkov
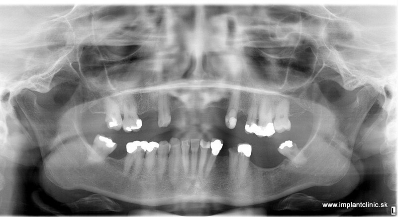
Snímok chrupu pred ošetrením
admin

View Comments

  • Dobrý deň prajem chcel bi som sa presnejšie informovať ohľadom vitrhani všetkých zubov a komplet nové horné aj spodné zuby a koľko by to stálo a či je možnosť platby na splátky.za odpoveď vopred ďakujem .

  • Dobrý deň chcel by som sa spýtať koľko by stálo komplet horné aj dolne nové zuby .....pod úplnou narkozou

    • Dobrý deň, pán Jakub

      Ďakujeme, že ste sa obrátili na Smile clinic ohľadom celkovej rekonštrukcie chrupu pod celkovou anestéziou.

      Kontaktovali sme Vás e-mailom.

      S pozdravom

      Tím Smile clinic

  • Dobry Den vedeli by ste mi ppvedat co by satala oprava vrchnych zubov v celkovej narkoze. Dakujem

    • Dobry den mal by som.zaujem o vytrhnutie zubov asi 4 ale mam panicky strach so subarov je moze aby ste mi to vytrhli v narkoze . Dakujem.za info

      • Dobrý deň p Ivan,
        keď treba vytrhneme aj v narkóze. Ako náhradu vytrhnutých zubov Vám môžme ponúknuť zubné implantáty.

        Postup je taký,že treba sa objednať na vstupnú konzultáciu, telefonicky alebo emailom. https://www.smileclinic.sk/

        Tešíme sa na Vašu návštevu,

        PS : Konzultácie sa báť nemusíte, iba sa porozprávame

    • Dobrý deň mala by som záujem o vytrhanie zubou pod narkozou a oprava celého hrupu prosím cena koľko by ma to vyslo

      • Dobrý deň, pani Terka.
        Ďakujeme, že ste nás kontaktovali ohľadom ošetrenia zubov v celkovej anestézii.
        Odpovedali sme Vám e-mailom.

        S pozdravom
        Tím Smile clinic

    • Dobrý deň, pán Martin

      Ďakujeme, že ste nás kontaktovali. Radi Vám poskytneme informácie o oprave vrchných zubov. Potrebovali by sme od Vás ešte doplňujúce informácie o stave Vášho chrupu. Prosím, neváhajte a využite možnosť rýchleho rozhovoru, ktorý si môžete naplánovať po rozkliknutí tohto linku: https://smileclinic.as.me/local-quick-call

      Budeme sa tešiť na rozhovor.

      S pozdravom
      Tím Smile clinic

  • Dobry den mohli by ste mi priblizne povedat kolko by ma stali horne tri zuby dva vo su pri ocnych a jeden hned prvy a ten sa mi kyve a asi ako dlho by som bola v narkoze?dakujeeem

  • Dobry vecer!prosim Vas priblizna cena prednych 3 zubov oprava mozno aj nove ked ze sa aj kyvu v narkoze

    • Dobrý deň, pani Andrea,
      ďakujeme za zanechanie komentáru. Ceníme si váš záujem o opravu resp. výmenu predných 3 zubov v narkóze. E-mailom som Vám zaslala informácie o ďalšom postupe.
      Prosím, skontrolujte Vašu e-mailovú schránku.

      S prianím pekného dňa
      Petra – Smile Clinic

      • Dobrý deň tiež by som potrebovala opraviť 3 predné zuby ale vzhľadom nato ze mam rešpekt pred bolesťou a zubárom chcela by som sa spýtať na celkovú aneztezu co to obnasa a aký by bol postup a koľko by to stalo. Ďakujem

        • Dobrý deň,
          ďakujeme za Váš komentár.

          Pre pacientov, kt majú strach z ošetrenia u zubného lekára môžeme ponúknuť: ošetrenie v sedácii, alebo v celkovej narkóze za prítomnosti anestéziológa. Pred ošetrením v celkovej narkóze sú potrebné predoperačné vyšetrenia.
          Postup by bol nasledovný: prišli by ste na vstupnú konzultáciu, na základe snímku by sme naplánovali ošetrenie a pvypočítali presnú cenu za ošetrenie. Cena sedácie / narkózy obvykle záleží od dĺžky ošetrenia.

          Kedy by sme Vám mohli naplánovať vstupnú konzultáciu ?

          S pozdravom,

          Natália

  • Dobrý deň.Rada by som sa informovala či je možné navštíviť vašu kliniku za účelom trhania zubov pod celkovou narkózou a aká by bola približná cena zákroku aj s narkózou..Na vytrhnutie mám 4 stoličky a cca 11 zubov.Za odpoveď Vám vopred ďakujem.

    • Dobrý deň, chcela by som sa opýtať koľko viete najviac naraz vytrhnúť zubov v celkovej narkoze? Potrebujem vytrhnúť 25zubov a koľko by to stálo?

      • Dobrý deň, pani Veronika

        Ďakujeme, že ste sa obrátil na Smile clinic ohľadom extrakcie zubov.
        Kontaktovali sme Vás e-mailom s ďalšími informáciami.

        S pozdravom
        Tím Smile clinic

    • Dobrý deň, pani Erika,
      ďakujeme, že ste nás kontaktovali. Máte záujem aj o náhradu zubov v celkovej narkóze?
      E-mailom som Vám zaslala link na rezervovanie telefonického hovoru, aby som Vám ja alebo kolegyňa mohla vysvetliť detaily ohľadom ošetrenia.
      Prosím, skontrolujte Vašu e-mailovú schránku.

      S pozdravom
      Petra

      • Dobrý večer.prosim Vás pekne mám 28 rokov a 3 krásne deti a moje zuby som zanedbala strašne sa bojím zubárov nie raz som zutekala od zubára priamo z kresla.no odhodlala som sa ísť k zubárke a musím si dať spravyt mostík predných vrchných 8 zubov.moja doktorka mi povedala ze sa to dat aj pod narkóze ona to však nerobí. Viete mi prosím povedať aspoň približný sumu ???ďakujem vám

        • Dobrý deň, pani Veronika

          Ďakujeme, že ste nás kontaktovali ohľadom zubného mostíka. Brúsenie zubov na celokeramické korunky v celkovej anestéze nevykonávame, avšak lokálna anestéza je dostatočne silná na to, aby pacient nemal žiadne nepríjemné pocity. Cena jednej celokeramickej korunky je 397 eur.
          Avšak pred stanovením presného plánu ošetrenia s výslednou sumou je potrebné absolvovať konzultáciu na jednej z našich kliník v Bratislave alebo v Piešťanoch. Mali by ste záujem o termín?

          S pozdravom
          Tím Smile clinic

  • Dobrý deň, poprosím Vás o zaslanie cenníka Vašich služieb na email. Zaujíma ma hlavne cena rekonštrukcie alebo opravy chrupu v celkovej anestéze.

    • Dobrý deň p. Nikola. ďakujeme za komentár.
      Rada by som Vám zatelefonovala a vysvetlila Vám možnosti liečby pri celkovej rekonštrukcii zubného oblúka v narkóze. Na Váš email som Vám poslala link, ako si naplánovať telefonický rozhovor.
      Teším sa na spoločný rozhovor,

      S pozdravom,

      Natália

    • Dobrý deň p. Monika, ďakujeme že ste nám napísali.
      Napíšte nám prosím o aké ošetrenie by ste mali záujem: napr. náhrada chýbajúcich zubov, alebo oprava kazov, a pod, aby sme Vám vedeli poslať čo najpresnejší cenník a postup ošetrenie.

      Budeme čakať na Vašu správu,

      Natália

  • Dobrý deň rád by som sa opýtal koľko by stála takáto rekonštrukcia chrupu ?

    • Dobrý deň, pán Pavol,

      ďakujeme, že ste sa na nás obrátili. Kontaktovali sme Vás e-mailom.

      S pozdravom
      Petra - Implant Clinic

  • Dobry den,
    Poprosim vas o zaslanie cenniku ma mail.
    Rad by som vedel informacie o cenach zakrokov v narkoze a ci preplaca zdravotna poistovna Union taketo zakroky, alebo nie.
    A ci sa da uplatnit na dentalnu hygienu v narkoze prispevok 100 eur od ZP Union.
    Dakujem velmi pekne

    • Dobrý deň,

      Ďakujeme vám že ste nás kontaktovali. Všetky informácie čo sa týka preplácania zdravotného poistenia u nezmluvného lekára si musíte zistiť vo svojej poisťovni. Cenník sme vám zaslali na mail.

      S pozdravom Smile Clinic

Recent Posts

Náhrada Jedného Chýbajúceho Zuba: Kompletný Sprievodca (2026)

Jeden Chýbajúci Zub. Tisíc Nepohodlných Chvíľ. Viete ten moment. Usmejete sa na fotke a potom…

3 months ago

Zubné implantáty – dokonalá náhrada chrupu

Pacient po dokončení ošetrenia Komplexné ošetrenie bolo potrebné aj u nášho pacienta Ladislava. Nemal žiadne…

9 months ago

Prečo sú zubné implantáty najlepším riešením po strate zuba?

Strata zubov má výrazný vplyv nielen na ďasná a čeľusť, ale aj na naše celkové…

11 months ago

Aké sú možné komplikácie zubných implantátov?

Komplikácie spojené so zubnou implantáciou sú zriedkavé, alebo len minimálne. Pacient bude oboznámený s možnými…

11 months ago

Aké sú možnosti náhrady všetkých chýbajúcich zubov?

Aké sú možnosti náhrady všetkých chýbajúcich zubov? Pri strate všetkých zubov v hornej a dolnej…

11 months ago

Aké sú výhody ktoré prináša náhrada chýbajúceho zubu implantátom?

Aké sú výhody zubných implantátov? Existuje mnoho faktorov, vďaka ktorým sú zubné implantáty výhodnejšie ako…

11 months ago