Oslabená čeľustná kosť a zubné implantáty

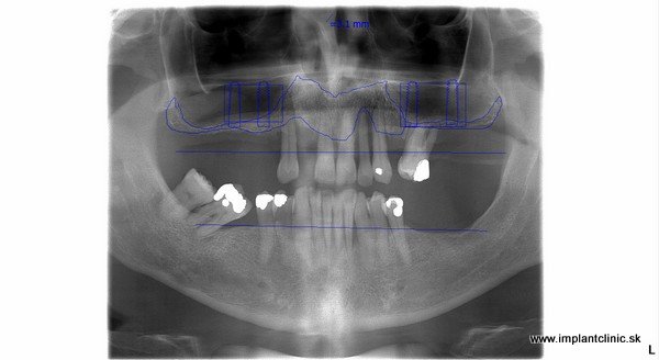
RTG snímka pred ošetrením

Ľudia považujú úbytok kostného tkaniva po strate zubov za bežný jav starnutia. Avšak pokroky v modernej  implantológii nám umožňujú riešiť problematiku úbytku kosti a poskytujú nám spôsoby, ako predchádzať strate kostnej hmoty a ako ju úspešne regenerovať.

Dôvodov prečo sa čeľustná kosť oslabuje je viac. Najčastejšie je to výsledok neliečených ochorení parodontu. Na miestach kde nám chýbajú zuby kosť nie je dostatočne stimulovaná a dochádza k jej artrofii.

Oslabená čeľustná kosť nemusí byť kontraindikáciou pre zubné implantáty. Ponúkame Vám prípad pacienta z Implantclinic, ktorému sme aj napriek oslabenej kosti úspešne zaviedli zubné implantáty a tým dopomohli k plnohodnotnejšiemu životu. Už sa nemusíte obávať, že z dôvodu úbytku kosti, nebudete vhodným kandidátom pre zubné implantáty a jedinou formou náhrady by bola snímateľná protéza.

Snímok pacienta po ošetrení

Priebeh náhrady celého chrupu pomocou zubných implantátov:

Prvá návšteva: konzultácia s MUDr. Marekom Salkom. K úspešnému naplánovaniu náhrady chrupu pomocou zubných implantátov sú potrebné OPG a CT snímky a dôkladná prehliadka parodontu.

Snímok pred odkytím implantátov

Druhá návšteva: implantácia. Z dôvodu oslabenej čeľustnej kosti sa naplánovalo do vrchnej čeľuste 9 zubných inplantátov, 6 zubných implantátov do sánky, dostavba kosti, sinus lift, extrakcie. Implantácia do oboch čeľustí prebehla počas jedného sedenia v lokálnej anestéze. Hneď po implantácii boli pacientovi nasadené fixne dočasné mostíky, ktoré sú pre maximálnu stabilitu a pevnosť vystužené titánovou konštrukciou.

Snímka po odkrytí zubných implantátov

Tretia návšteva: v prípade, ak sa zubné implantáty zavádzajú do oslabenej kosti je potrebná extra návšteva na odkrytie implantátov. Na odkryté implantáty sa nasadia implantátové nadstavby a nechajú sa dohojiť na ďalší mesiac.

Štvrtá návšteva: po úspešnom zahojení implantátov sa pacient vráti na kliniku na odobratie odtlačkov. Na základe odtlačkov zubný technici začnú pracovať na výrobe zubných mostíkov.

Piata návšteva: nasadenie trvalých mostíkov.

admin

Recent Posts

Náhrada Jedného Chýbajúceho Zuba: Kompletný Sprievodca (2026)

Jeden Chýbajúci Zub. Tisíc Nepohodlných Chvíľ. Viete ten moment. Usmejete sa na fotke a potom…

3 months ago

Zubné implantáty – dokonalá náhrada chrupu

Pacient po dokončení ošetrenia Komplexné ošetrenie bolo potrebné aj u nášho pacienta Ladislava. Nemal žiadne…

9 months ago

Prečo sú zubné implantáty najlepším riešením po strate zuba?

Strata zubov má výrazný vplyv nielen na ďasná a čeľusť, ale aj na naše celkové…

11 months ago

Aké sú možné komplikácie zubných implantátov?

Komplikácie spojené so zubnou implantáciou sú zriedkavé, alebo len minimálne. Pacient bude oboznámený s možnými…

11 months ago

Aké sú možnosti náhrady všetkých chýbajúcich zubov?

Aké sú možnosti náhrady všetkých chýbajúcich zubov? Pri strate všetkých zubov v hornej a dolnej…

11 months ago

Aké sú výhody ktoré prináša náhrada chýbajúceho zubu implantátom?

Aké sú výhody zubných implantátov? Existuje mnoho faktorov, vďaka ktorým sú zubné implantáty výhodnejšie ako…

11 months ago