Pani Mária po dokončení ošetrenia
Fotografia pána Tomáša po dokončení ošetrenia

Konečne máme nový dokonalý úsmev po ktorom sme vždy túžili! Ošetrenie nebolo až také bolestivé ako sme predpokladali. Sme veľmi spokojní s finálnym výsledkom

Manželia Tomáš a Mária sa konečne odhodlali navštíviť Implant Clinic po dlhom odkladaní návštevy lekára. Obaja prišli o skoro všetky moláre a preto sa žutie sústreďovalo na predné zuby, ktoré sa po preťažovaní tiež pokazili. Bolo nevyhnutné začať uvažovať nad náhradou chrupu. Po strate zubov je dôležité myslieť nad okamžitou náhradou, pretože odkladanie náhrady zubov môže skomplikovať ošetrenie v budúcnosti.

U oboch pacientov bolo nutné nahradiť kompletne celý chrup pomocou zubných implantátov a fixných keramických mostíkov. Vzhľadom na ich vek snímateľná protéza nepripadala do úvahy. Na základe 3 D snímku implantológ zistí stav a hustotu čeľustnej kosti. Je to dôležitá informácia na základe ktorej sa posúdi či je potrebná pred zavedením zubných implantátov dostavba kosti.

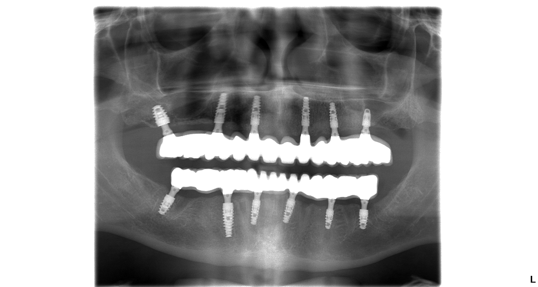
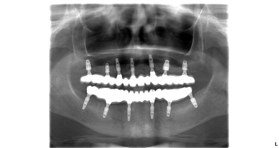
V prípade pána Tomáša bolo potrebných 6 zubných implantátov vo vrchnej a 6 zubných implantátov v spodnej čeľusti na ktoré sa nasadili 14 – členné keramické mostíky. U pni Márie bolo potrebných 7 zubných implantátov vo vrchnej čeľusti a 6 zubných implantátov v spodnej čeľusti.

Výhody ktoré vám prinesie váš nový dokonalý úsmev:

  • žiadne obmedzovanie pri konzumovaní jedál na ktoré máte chuť
  • zavedenie zubných implantátov udržiava kosť v prirodzenom tvare aký má ozubená čeľusť
  • Fixný mostík na zubných implantátoch poskytuje spoľahlivé a trvácne riešenie
  • Prirodzene vyzerajúci funkčný a vysoko estetický chrup
Snímok pána Tomáša po dokončení ošetrenia
Snímok pani Márie po dokončení ošetrenia

Túžite aj vy po dokonalom chrupe? Objednajte sa na bezplatnú konzultáciu v Implant Clinic Piešťany alebo Bratislava. Tešíme sa na vašu návštevu

admin

Recent Posts

Náhrada Jedného Chýbajúceho Zuba: Kompletný Sprievodca (2026)

Jeden Chýbajúci Zub. Tisíc Nepohodlných Chvíľ. Viete ten moment. Usmejete sa na fotke a potom…

3 months ago

Zubné implantáty – dokonalá náhrada chrupu

Pacient po dokončení ošetrenia Komplexné ošetrenie bolo potrebné aj u nášho pacienta Ladislava. Nemal žiadne…

9 months ago

Prečo sú zubné implantáty najlepším riešením po strate zuba?

Strata zubov má výrazný vplyv nielen na ďasná a čeľusť, ale aj na naše celkové…

11 months ago

Aké sú možné komplikácie zubných implantátov?

Komplikácie spojené so zubnou implantáciou sú zriedkavé, alebo len minimálne. Pacient bude oboznámený s možnými…

11 months ago

Aké sú možnosti náhrady všetkých chýbajúcich zubov?

Aké sú možnosti náhrady všetkých chýbajúcich zubov? Pri strate všetkých zubov v hornej a dolnej…

11 months ago

Aké sú výhody ktoré prináša náhrada chýbajúceho zubu implantátom?

Aké sú výhody zubných implantátov? Existuje mnoho faktorov, vďaka ktorým sú zubné implantáty výhodnejšie ako…

11 months ago