Fixné mostíky na zubných implantátoch

Už ste niekedy uvažovali nad spojením dovolenky s ošetrením zubov? Takúto nezvyčajnú dovolenku si naplánovala naša pacientka Tamara u nás v Piešťanoch. Dlhodobo žije v zahraničí a rozhodla sa, že podstúpi ošetrenie v Implant Clinic. Keďže Piešťany sú známe kúpeľné mesto je tu možnosť návštevy kúpeľov s možnosťou procedúr a masáží alebo návštevy mesta a kultúrnych podujatí.

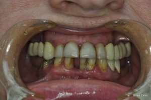
Tamaru trápil stav jej chrupu dlhodobo. V hornej čeľusti mala všetky moláre nahradené mostíkmi ktoré boli v nevyhovujúcom stave. V spodnej čeľusti mala už len 9 zubov a preto žuvacia schopnosť bola značne narušená.

Riešením sú zubné implantáty!

Plán ošetrenia od MUDr. Salku znel:

Vrchná čeľusť: 8 extrakcií, 7 zubných implantátov, 14 – členný keramický mostík

Spodná čeľusť: 9 extrakcií, 5 zubných implantátov, 14 – členný keramický mostík

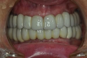
Nový úsmev po nasadení fixných mostíkov na zubné implantáty

Implantátové mostíky sa nasádzajú na zavedené zubné implantáty fixne. Fixné mostíky ukotvené na zubných implantátoch poskytujú veľa výhod pri náhrade chrupu.

  • dlhodobá trvácnosť zubných implantátov
  • doživotná záruka
  • obnovenie žuvacej schopnosti
  • vysoká estetika a prirodzenosť chrupu
  • zlepšenie artikulácie

Celé ošetrenie si vyžadovalo 3 návštevy na klinike. Po konzultácii si pacientka rezervovala termín na zavedenie zubných implantátov. Zubné implantáty sa zaviedli do oboch čeľustí pri jednom sedení. Na zavedené zubné implantáty sa fixne nasadili dočasné zubné mostíky z titánovou konštrukciou, ktoré vám zabezpečia okamžitú náhradu zubov. Hojenie zubných implantátov trvá 2-3 mesiace. Počas doby hojenia je potrebné, aby pacient konzumoval mäkkú alebo tekutú stravu. Zubné implantáty nesmú byť zaťažované žutím. Zapríčinilo by to komplikácie pri hojení a vylúčenie zubných implantátov.

Druhá návšteva na klinike je určená na zhotovenie odtlačkov zahojených zubných implantátov. Na základe odtlačkov sa v zubnom laboratóriu začne výroba zubných mostíkov. Precízna výroba fixných mostíkov si vyžaduje vysokú profesionalitu a preto v Smile Clinic pracujú len vysoko vyškolení zubný technici.

Či sa vám páči konečný výsledok práce tímu Implant Clinic môžete posúdiť vy sami na základe fotografií.

Finálne fixné keramické mostíky
Stav chrupu pred ošetrením
admin

Recent Posts

Náhrada Jedného Chýbajúceho Zuba: Kompletný Sprievodca (2026)

Jeden Chýbajúci Zub. Tisíc Nepohodlných Chvíľ. Viete ten moment. Usmejete sa na fotke a potom…

3 months ago

Zubné implantáty – dokonalá náhrada chrupu

Pacient po dokončení ošetrenia Komplexné ošetrenie bolo potrebné aj u nášho pacienta Ladislava. Nemal žiadne…

9 months ago

Prečo sú zubné implantáty najlepším riešením po strate zuba?

Strata zubov má výrazný vplyv nielen na ďasná a čeľusť, ale aj na naše celkové…

11 months ago

Aké sú možné komplikácie zubných implantátov?

Komplikácie spojené so zubnou implantáciou sú zriedkavé, alebo len minimálne. Pacient bude oboznámený s možnými…

11 months ago

Aké sú možnosti náhrady všetkých chýbajúcich zubov?

Aké sú možnosti náhrady všetkých chýbajúcich zubov? Pri strate všetkých zubov v hornej a dolnej…

11 months ago

Aké sú výhody ktoré prináša náhrada chýbajúceho zubu implantátom?

Aké sú výhody zubných implantátov? Existuje mnoho faktorov, vďaka ktorým sú zubné implantáty výhodnejšie ako…

11 months ago