Dokonalé zuby – dokonalý úsmev!

Absolútne dokonalý výsledok. Priateľský a prívetivý personál po celý čas môjho ošetrenia. MUDr. Salka je veľmi zručný a skúsený zubný lekár. Nikdy by som si nepomyslela, že môj úsmev môže byť taký dokonalý. Jednoducho vynikajúci výsledok a priebeh ošetrenia. Všetko bolo oveľa jednoduchšie ako som očakávala. Neváhajte, pretože Implant Clinic tím je jednoducho unikátny. Odporúčam všetkým.

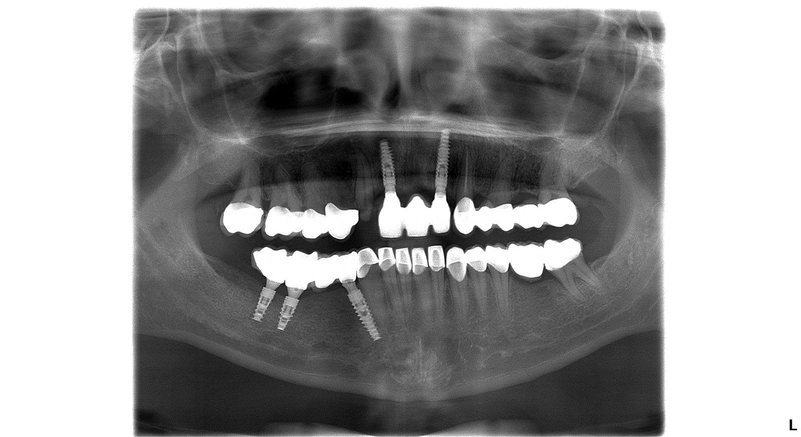
Natália po ošetrení
Snímok po ošetrení

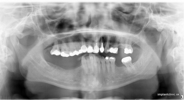
Natália túžila mať dokonalé zuby a dokonalý úsmev. Rozhodla sa podstúpiť radikálnu zmenu. Jej ošetrenie zahŕňalo dve extrakcie, päť zubných implantátov, sedem implantových koruniek, pätnásť celokeramických koruniek, päť kovokeramických koruniek.

Celý proces ošetrenia sa začína konzultáciou. Zhodnotí sa stav zubov a zubný lekár navrhne postup liečby. Kladie sa dôraz na to, aby pacient rozumel plánu liečby.

Ľudia často krát odkladajú ošetrenie u zubného lekára z rôznych dôvodov. Jeden z najčastejších dôvodov je strach a nedôvera. Veľa pacientov má zlé skúsenosti so zubnými lekármi. Nájsť toho spoľahlivého býva často krát veľmi zložité. Najlepšia rada je, aby ste si vybrali na základe rád a výsledkov, ktoré sú overiteľné.

Odklad návštevy zubného lekára je často krát zapríčinený aj strachom z bolesti. Pacient v Implant Clinic je poučený o tom, že všetky ošetrenia sú vykonávané bezbolestne. Ak by ste po ošetrení cítili bolesť, je možné ju utlmiť liekmi. Odkladanie návštevy by mohlo zdravotný stav ešte zhoršiť. Včasné diagnostikovanie a ošetrenie uľahčuje riešenie problému. Spokojnosť našich pacientov je u nás v Implant Clinic prvoradá. Teší nás, keď naši pacienti odchádzajú od nás spokojní.

Snímok pred ošetrením
admin

Recent Posts

Náhrada Jedného Chýbajúceho Zuba: Kompletný Sprievodca (2026)

Jeden Chýbajúci Zub. Tisíc Nepohodlných Chvíľ. Viete ten moment. Usmejete sa na fotke a potom…

2 months ago

Zubné implantáty – dokonalá náhrada chrupu

Pacient po dokončení ošetrenia Komplexné ošetrenie bolo potrebné aj u nášho pacienta Ladislava. Nemal žiadne…

7 months ago

Prečo sú zubné implantáty najlepším riešením po strate zuba?

Strata zubov má výrazný vplyv nielen na ďasná a čeľusť, ale aj na naše celkové…

10 months ago

Aké sú možné komplikácie zubných implantátov?

Komplikácie spojené so zubnou implantáciou sú zriedkavé, alebo len minimálne. Pacient bude oboznámený s možnými…

10 months ago

Aké sú možnosti náhrady všetkých chýbajúcich zubov?

Aké sú možnosti náhrady všetkých chýbajúcich zubov? Pri strate všetkých zubov v hornej a dolnej…

10 months ago

Aké sú výhody ktoré prináša náhrada chýbajúceho zubu implantátom?

Aké sú výhody zubných implantátov? Existuje mnoho faktorov, vďaka ktorým sú zubné implantáty výhodnejšie ako…

10 months ago